叢生(乱杭歯)
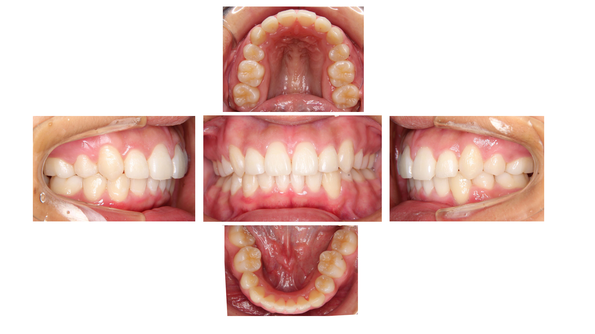
上顎前歯部唇側傾斜(出っ歯)・叢生(凸凹)
【患者】 10代 女性
【費用】 矯正装置料74万円+処置料6000円/回
マルチブラケット装置(ワイヤー矯正)
カリエールディスタライザー(奥歯を後方に移動させる装置)
※掲載の費用は治療当時のものであり、2025年の料金改定に伴い、現在の費用とは異なります。最新の料金は、料金表ページにてご確認ください。
【期間】 1年10カ月

【治療計画】
かなり上顎の前歯が前方に傾斜していました。
また、上下顎共に、歯の凸凹が多くある状態です。
この前歯の前方傾斜と凸凹を改善する為には、かなりのスペースを必要とします。当医院では、なるべく中間の歯(小臼歯)抜歯をしない方針なのですが、今回のケースでは小臼歯の抜歯+大臼歯の遠心移動(後方への移動)によりスペースを作っていくことにしました。
中間の歯を抜歯しただけですと、前歯の凸凹は改善されますが、前方傾斜が改善されず、上の前歯と下の前歯の噛み合わせを作れません。


初診時では前歯が前方にかなり傾斜していたため、お口を閉じた時に、顎に梅干しシワができていました。
下顎が後退しているまたは出っ歯の方は、お口を閉鎖するのが困難となります。
お口を閉じることができないと、口呼吸となりやすくなります。
口を閉じようとすると下唇は上に引き上げられます。この時オトガイ筋という顎に付いている筋肉が収縮することが必要です。お口を閉じることが困難な方は、下唇を引き上げる程度が大きくなります。その結果、過度にオトガイ筋の緊張が起こり、下顎に梅干し様のしわが認められるようになります。
今回は、上顎前歯の前突の解消と、上顎アーチフォームを拡大したことで、下顎位が少し前方に適応したため、梅干し顎や、横顔のプロファイルの改善に成功しました。
【リスク・副作用】
カリエールによる後方移動にはゴムかけが必要となります。
ゴムかけの使用時間が短いと歯の動きが悪く、治療期間が延びる可能性
があります。使用時間を守りましょう。
ワイヤー矯正により歯磨きが難しくなります。歯磨きが行き届いて
いないと虫歯や歯周炎のリスクが高まります。
清潔に保つよう心掛けてください。
練馬区西武池袋線大泉学園駅徒歩1分 よしかわ矯正歯科 院長 吉川
よしかわ矯正歯科

〒178-0063
東京都練馬区東大泉1-33-6 大泉セントラルビル203
TEL:03-3924-9191
診療時間:
火~金 11:00~13:00/14:30~20:00
土・日* 9:00~12:00/13:00~17:30
休診日:月曜・木曜・祝日・日曜(不定期)
*日曜(月2回不定期診療)


