インビザライン
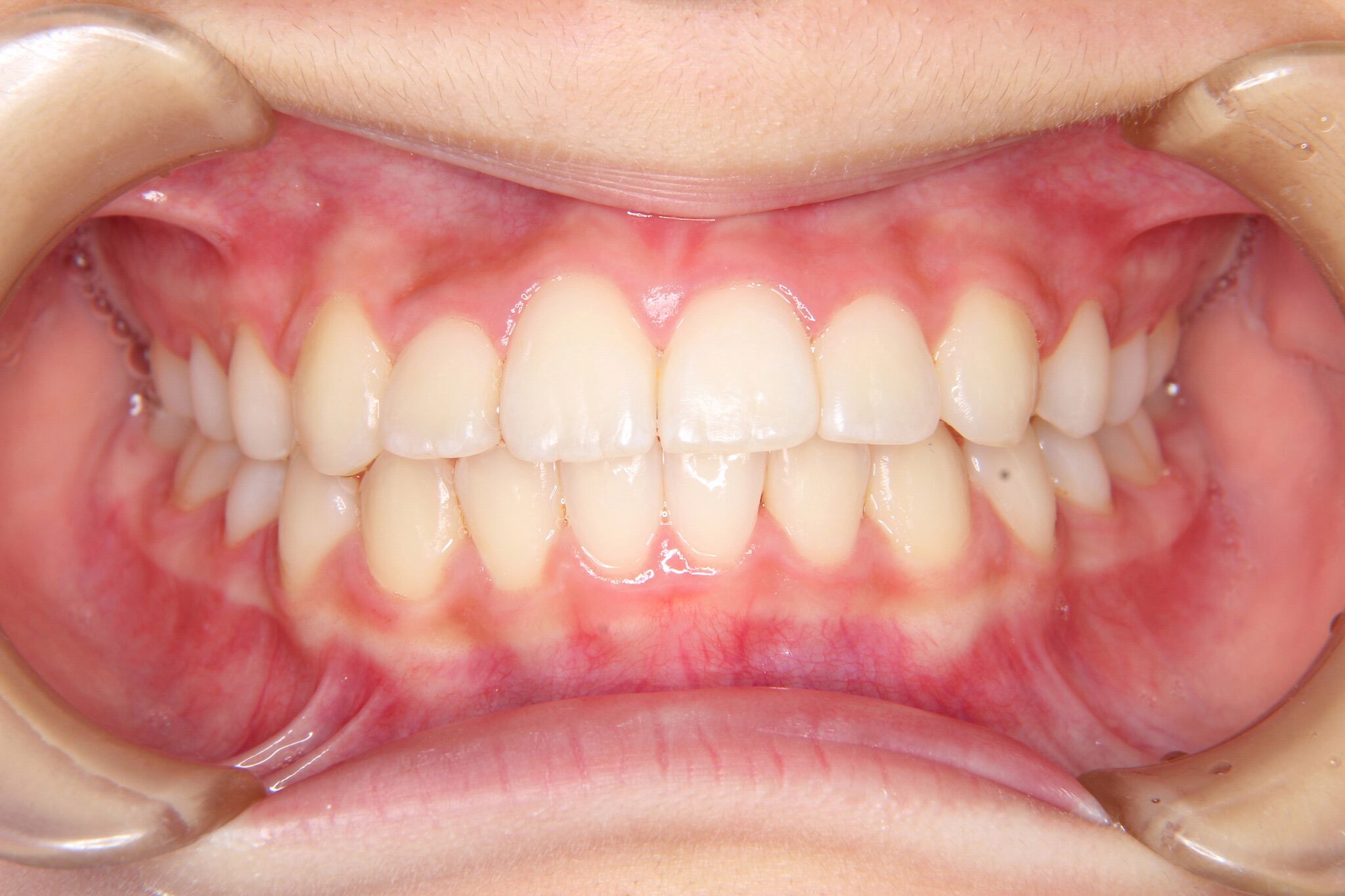
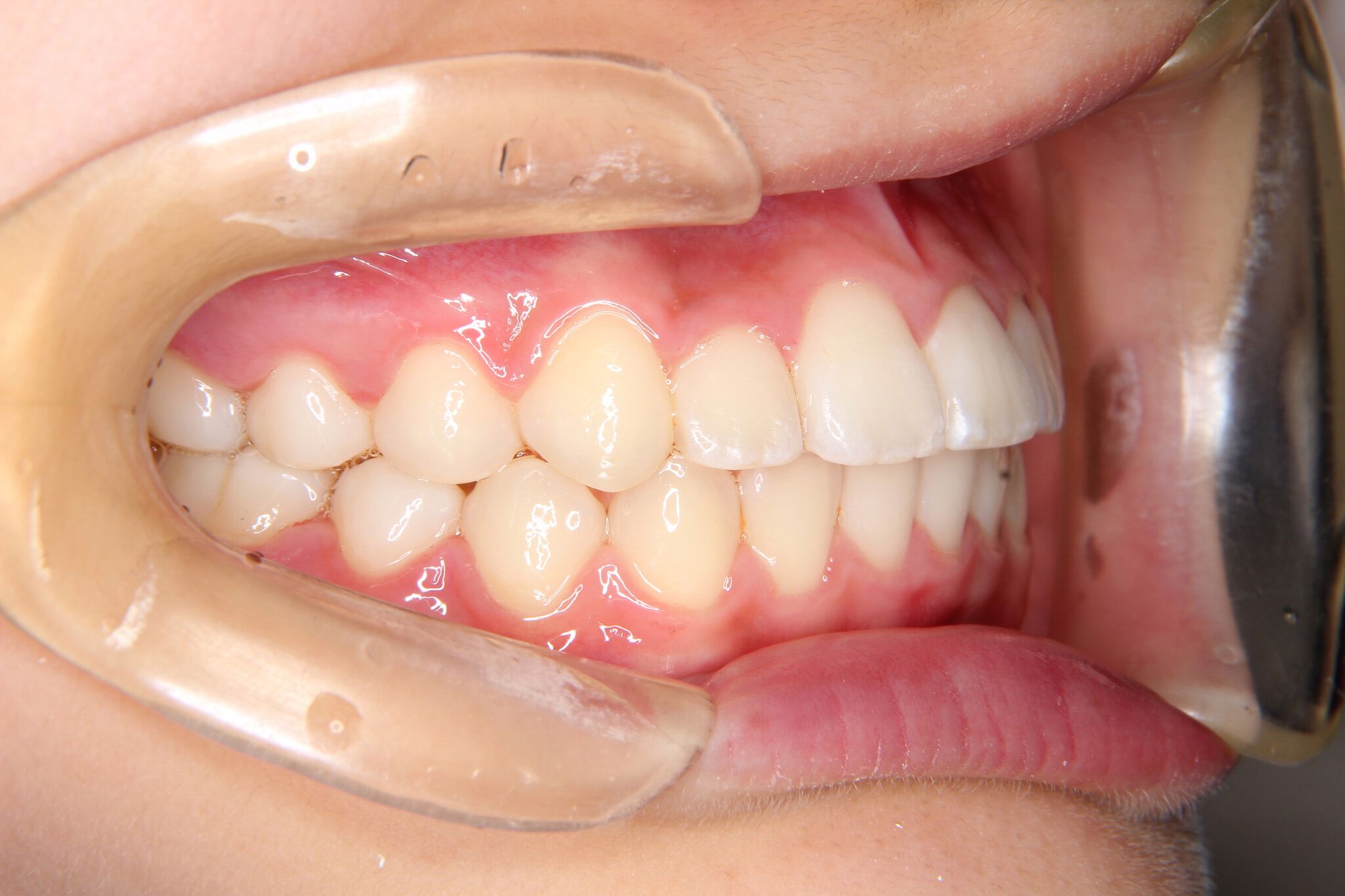
【中学生女子】上顎前歯部がたがた歯の矯正歯科治療
【患者】 10代 女子
【費用】 矯正装置料84万円+処置料6000円/回
インビザライン(マウスピース矯正)
※掲載の費用は治療当時のものであり、2025年の料金改定に伴い、現在の費用とは異なります。最新の料金は、料金表ページにてご確認ください。
【期間】 1年2カ月
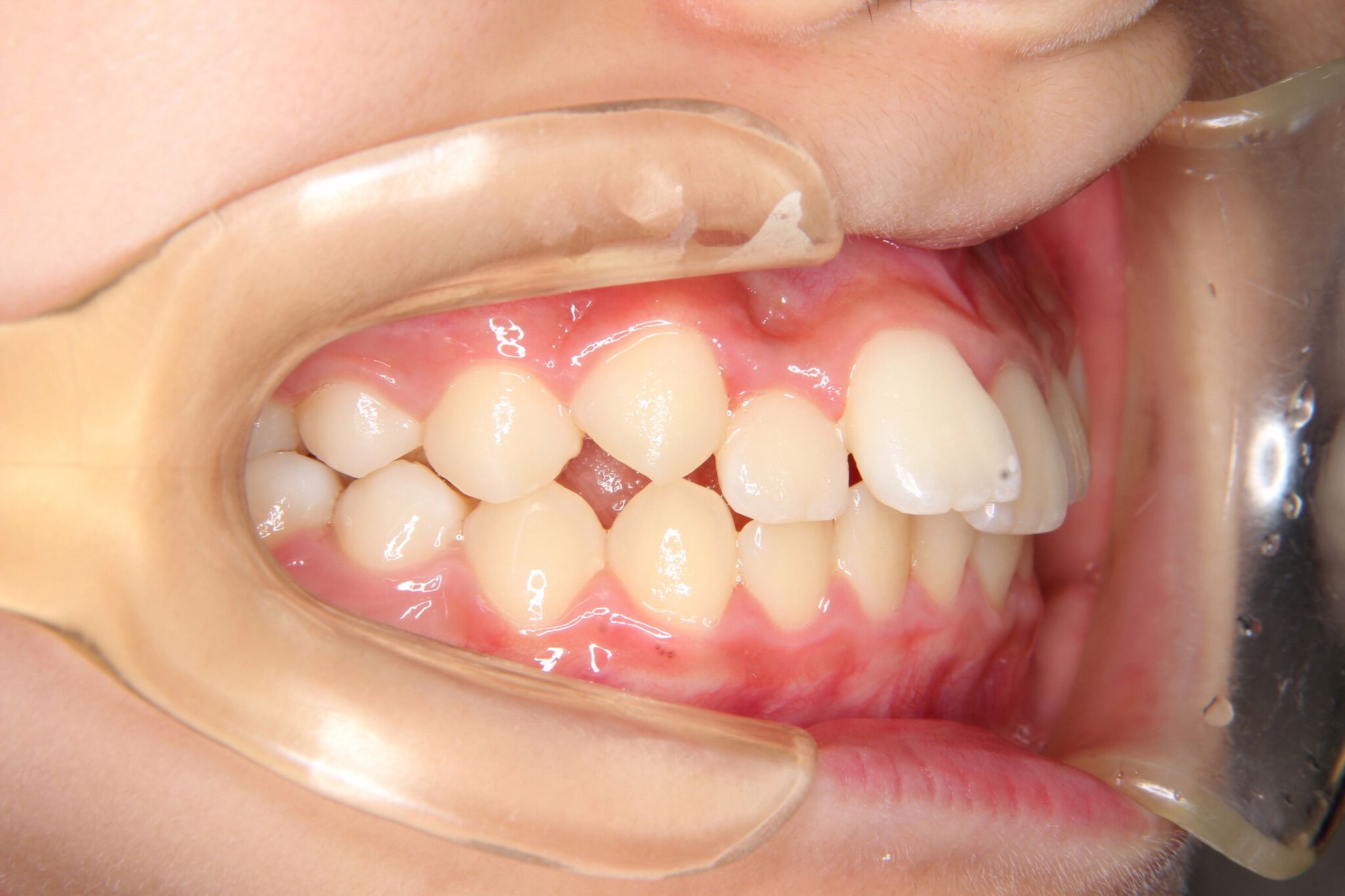
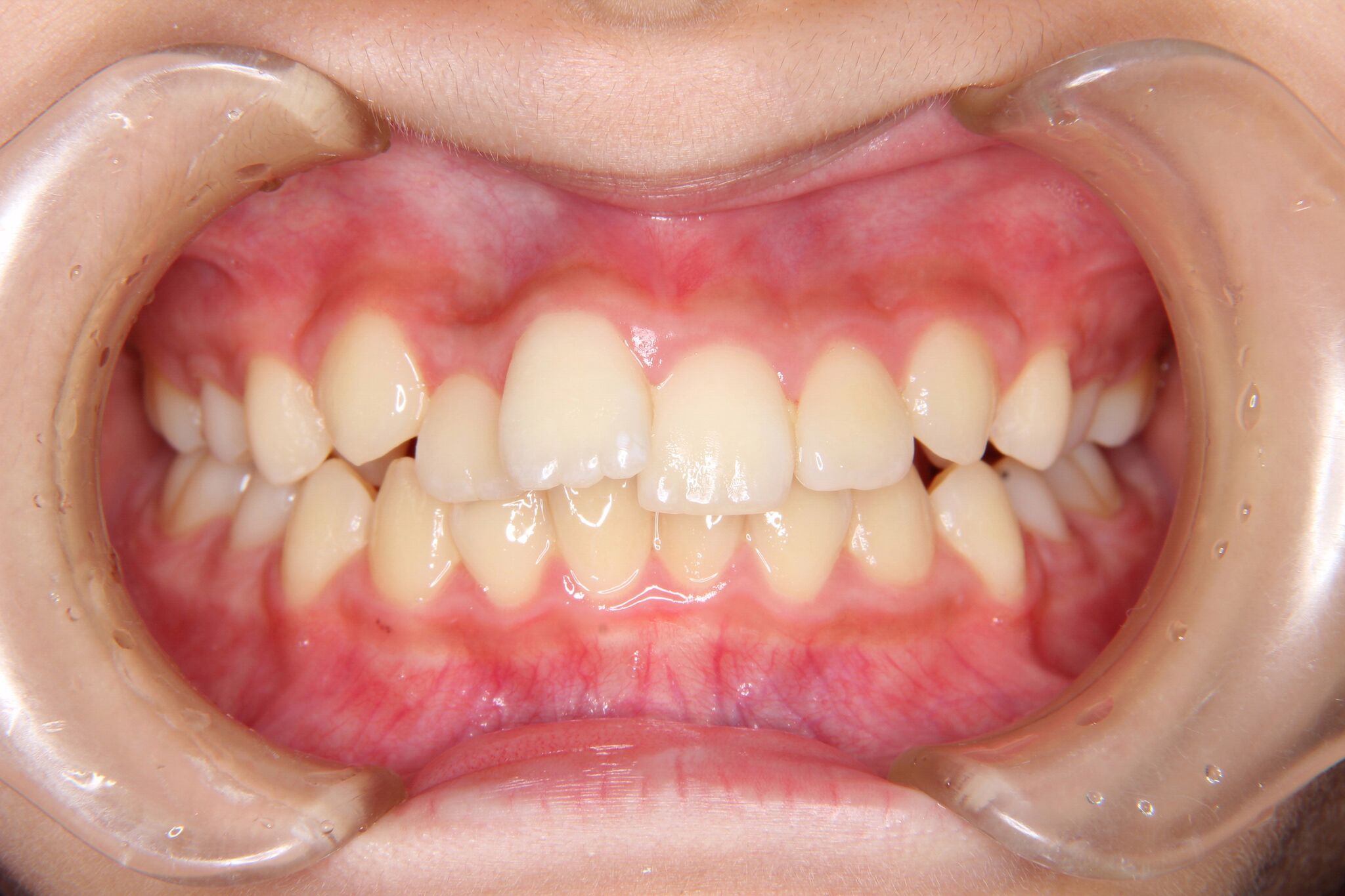
- 治療前 治療後
-


【治療計画】
上顎の前歯の凸凹を改善するために、スペースが必要となります。
- 奥歯の後方への移動(遠心移動)
- 歯列弓(歯のアーチ)の拡大
- ディスキング(歯を少し削合)
を行いました。
今回のケースはインビザラインで治療いたしました。インビザラインの場合は、奥歯を後方に下げることも単独で可能となります。
ワイヤー矯正の場合は、補助的な装置を用いることがよくあります。
取り外しが可能な装置ですと、ヘッドギア。固定式の装置ですと、GMDやペンデュラムがあります。
インビザライン(マウスピース矯正)の良い所は、インビザライン単体で奥歯を下げれるところです。特に下の歯は補助的な装置がリップバンパーという装置しかないため、なかなか苦労します。
インビザラインはそういった面で、画期的な装置であると言えます。
ワイヤー矯正で得意な部分、マウスピース矯正が得意な部分があるため、色々な装置の特性を理解して使用することが重要だと思います。
どの装置がベストかは、ドクターとよく相談して決めることをお勧めいたします。
【リスク・副作用】
ディスキング(歯を少し削る)が必要あります。
奥歯を後方に移動すると歯と歯の間に隙間が出てきます。
そこのにモノが詰まりやすくなりますので、虫歯や歯周炎の原因に
なります。
歯間ブラシ等を使用してきれいに汚れを除去してください。
練馬区大泉学園徒歩一分よしかわ矯正歯科 院長 吉川剛太
よしかわ矯正歯科

〒178-0063
東京都練馬区東大泉1-33-6 大泉セントラルビル203
TEL:03-3924-9191
診療時間:
火~金 11:00~13:00/14:30~20:00
土・日* 9:00~12:00/13:00~17:30
休診日:月曜・木曜・祝日・日曜(不定期)
*日曜(月2回不定期診療)


