その他
【小学生男子】受け口・下あごのずれの矯正歯科治療
【患者】 小学生 男子
【費用】 矯正装置料35万円+処置料6000円/回
【期間】 1年6ヵ月
※掲載の費用は治療当時のものであり、2025年の料金改定に伴い、現在の費用とは異なります。最新の料金は、料金表ページにてご確認ください。
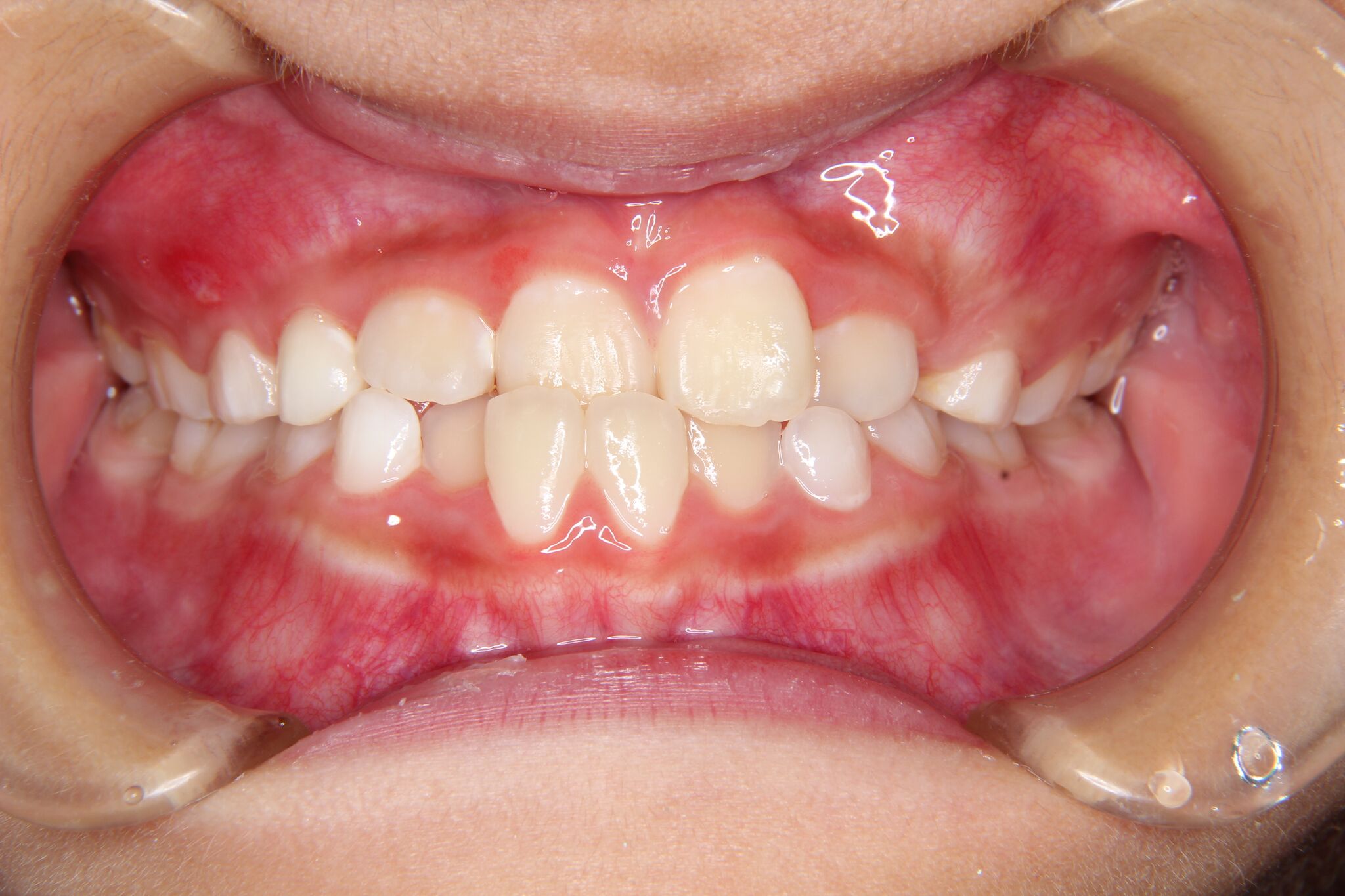
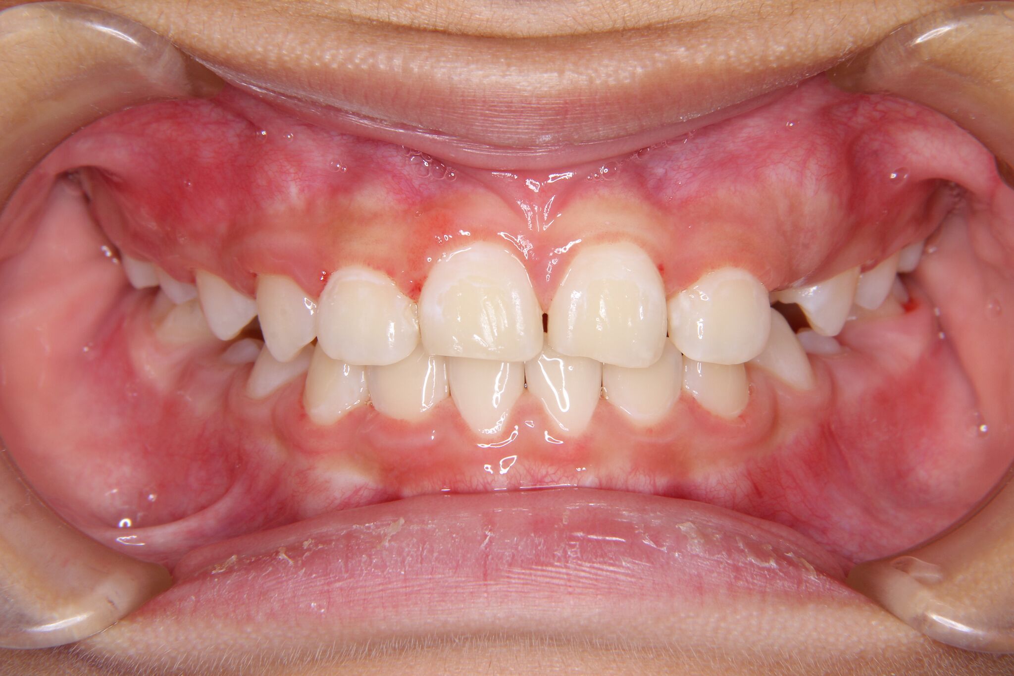
- 治療前 治療後
-
【治療計画】
今回のケースは、
- 前歯が反対に噛んでいる
- 下顎が右にずれている
- 歯の叢生(がたがた歯)がある
上下顎の歯列弓(歯のアーチ)を拡大(広げること)をしました。
アーチを広げることで、下の前歯を内側に移動させるスペースが出来ますし、上顎のアーチを広げることで、下顎が正しい位置に収まる受け皿をしっかり作っていきます。
今回は、プレートタイプの拡大床を使用しました。
拡大床は、取り外しができるタイプの装置です。食事、ハミガキの時以外は装着しておく必要があります。メリットとしては、外せる所です。やはり、今までと同じように食事が出来るということは大きなメリットだと思います。
拡大床は、さまざまなタイプがあり、歯のアーチの広げ方も異なります。各ケースにあった装置を設計する必要があります。
拡大床によるスペースコントロール後、ワイヤーを装着。歯のがたがたを治療していきました。ワイヤーの装着期間は約半年ほどでした。小児矯正は、2×4装置といって、前歯4本と、六歳臼歯にブラケットを装着し、ワイヤーを部分的にセットする方法がよく用いられます。
顎のずれは、歯の早期接触部位を改善することで、自然に偏位が改善されてきました。
今後は、永久歯完成まで経過観察を行い、永久歯が全て生えそろった段階で、一度再評価をしていきます。その後、再分析、再診断を行い、第二期治療(成人矯正治療)を行うか患者様と相談します。
第二期治療の目標は、第一期治療(小児矯正治療)と異なり、細かい噛み合わせを作っていく予定です。
第一期治療の目標は、土台作りが大きな目標です。成長期にしか出来ない骨格的なずれの改善や、習癖(舌の癖や食事の仕方、寝方等)の改善、永久歯萌出のスペース作りがメインになります。全部の歯をきちんと噛ませるようにするのは、永久歯が全て揃わないとできません。
【リスク・副作用】
拡大床は取り外しができるため、決められた時間をしっかりと使用していただくことが大切になります。
使用時間が短いと思うように歯がうごかず、スペースの確保ができなくなります。
また、二期治療が必要となるため長期に渡り管理が必要となります。
練馬区西武池袋線大泉学園駅徒歩1分 よしかわ矯正歯科 院長 吉川
よしかわ矯正歯科

〒178-0063
東京都練馬区東大泉1-33-6 大泉セントラルビル203
TEL:03-3924-9191
診療時間:
火~金 11:00~13:00/14:30~20:00
土・日* 9:00~12:00/13:00~17:30
休診日:月曜・木曜・祝日・日曜(不定期)
*日曜(月2回不定期診療)


