その他
【小学生男子】深い噛み合わせ・上顎の犬歯スペース不足の矯正歯科治療
【患者】 小学生 男子
【費用】 矯正装置料35万円+処置料6000円/回
※掲載の費用は治療当時のものであり、2025年の料金改定に伴い、現在の費用とは異なります。最新の料金は、料金表ページにてご確認ください。
【期間】 1年
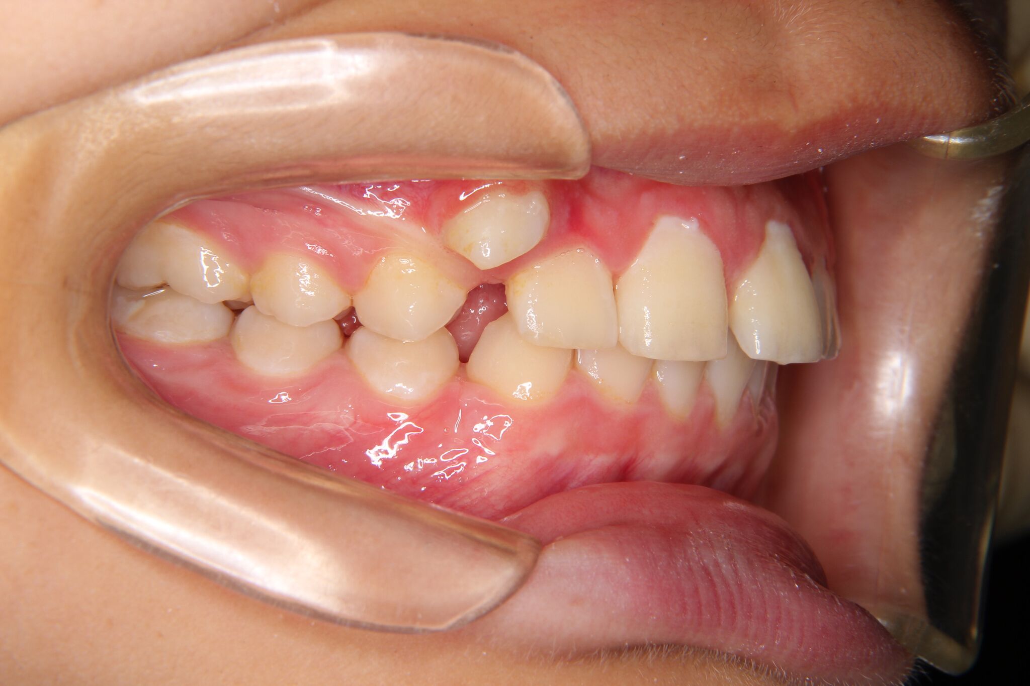
- 治療前 治療後
-


【治療計画】
噛み合わせが深く、上下奥歯の関係のズレがみられました。
バイトプレート(噛み合わせの高さを挙げる装置)とヘッドギア(奥歯を後方に下げる装置)併用しました。
その後、ワイヤーをセットし、犬歯を下ろしてきました。
現在、全ての歯の萌出まで、経過を見ています。
全部の永久歯が萌出後、ワイヤーかインビザラインにて、きちんと
した噛み合わせを作っていきます。
【リスク・副作用】
ヘッドギアを使用することで、奥歯を後方移動して犬歯のスペースを
確保します。毎晩正しく使用することが大切になります。
寝ている間に外れることが多い場合は、当院にご連絡ください。
マルチブラケットによるワイヤー矯正の場合、ブラケットやワイヤー
があることにより、清掃しづらくなっております。
歯磨きをしっかりと行わないと虫歯や歯肉炎のリスクが高まります。
歯磨き指導も行っておりますので、頑張りましょう。
練馬区西武池袋線大泉学園駅徒歩1分 よしかわ矯正歯科 吉川
よしかわ矯正歯科

〒178-0063
東京都練馬区東大泉1-33-6 大泉セントラルビル203
TEL:03-3924-9191
診療時間:
火~金 11:00~13:00/14:30~20:00
土・日* 9:00~12:00/13:00~17:30
休診日:月曜・木曜・祝日・日曜(不定期)
*日曜(月2回不定期診療)


