出っ歯
【20代女性】上顎前突、口唇閉鎖不全症例
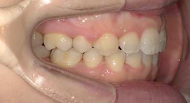
- 治療前 治療後
-

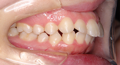
治療前(横)

治療後(横)

治療前(横顔)

治療後(横顔)
| 症例タイトル | 上顎前突、上下顎前歯部唇側傾斜 |
|---|---|
| 患者さまの主訴 | 口が閉じれない。口元の改善 |
| 治療内容 | 上下顎両側4抜歯によるスペースメイキングによる上下顎前歯部のリトラクション 抜歯:上下顎両側4番(計4本) 治療装置:マルチブラケット装置 固定装置:TADを治療途中に埋入(4本) リテーナー:プレートタイプタイプ |
| 患者さまの年齢 | 20代 |
| 患者さまの性別 | 女性 |
| 治療期間 | 40ヵ月 |
| 治療にかかった総額 | 精密検査代:39,000円 装置代:630,000円 処置代:231,000円 保定装置代:40,000円 ⇒総額:940,000円(税込み) ※治療当時の金額となります。 |
| 治療する際に起こる リスク・副作用 |
痛み・治療後の後戻り・歯根吸収・歯髄壊死・歯肉退縮 |
よしかわ矯正歯科

〒178-0063
東京都練馬区東大泉1-33-6 大泉セントラルビル203
TEL:03-3924-9191
診療時間:
火~金 11:00~13:00/14:30~20:00
土・日* 9:00~12:00/13:00~17:30
休診日:月曜・木曜・祝日・日曜(不定期)
*日曜(月2回不定期診療)



