補綴前矯正
- トップページ
- 精密な診査診断について
- 補綴前矯正
被せ物やインプラントを長持ちさせる「補綴前矯正」とは

インプラントや被せ物を入れる前に、歯の位置や咬み合わせを整える「補綴前矯正」という選択肢があります。単に失った部分を補うだけでなく、その補綴物が長く安定して機能する環境を、矯正治療で整えることが目的です。
どれほど精密に作られた被せ物やインプラントであっても、土台となる歯並びや咬合バランスが不安定であれば、特定の歯や補綴物に過度な力が集中し、破損や脱離、周囲組織のトラブルにつながる可能性があります。
大泉学園の矯正歯科医院「よしかわ矯正歯科」では、将来的な再治療リスクを抑え、治療結果をより長く維持するための矯正治療をご提案しています。
むし歯や歯周病治療で「矯正」を勧められた方へ

「むし歯を治しに来たのに、なぜ矯正を勧められるの?」と驚かれる方もいらっしゃるかもしれません。一般的に矯正は「見た目を整えるもの」というイメージが強いですが、私たちの目的はそれだけではありません。
歯列を整えてお口の中の「掃除のしやすさ」を向上させ、咬み合わせを調整して「歯への負担」を分散させる。この準備を行うことで、むし歯治療やインプラントの治療効果を最大限に引き出し、お口全体の健康をより長く守ることが可能になります。私たちは、10年、20年先を見据えた誠実な治療をご提案したいと考えています。
他の治療の前処置の矯正治療とは?

歯列全体を整えるのではなく、一部の歯を整えることで他の治療を効果的に行えることがあります。この歯を部分的に動かす治療をMTM(部分矯正)といいます。
MTMが必要となる主なケース

- 歯が倒れ込んでいて、そのままでは理想的なむし歯治療などができない場合
- 歯の重なりによって汚れが溜まりやすく、歯周病のリスクが高い場合
MTMのメリット
動かす範囲が限定的なため、全体矯正に比べて短期間で治療が完了します。また、歯を動かした後に被せ物やインプラントで固定するため、通常の矯正治療のような取り外し式の保定装置(リテーナー)が不要になる、あるいは期間を短縮できる場合があります。
矯正用アンカースクリュー(TAD)について

一部の歯を動かす方法の中には、歯科矯正用のミニインプラント(TAD:Temporary Anchorage Device)を一時的に顎の骨に埋め込み、支点にして倒れている歯を起こしたり、理想の位置に動かしたりする方法もあります。これを固定源にすることで、従来の装置では難しかった「倒れている歯を垂直に起こす」といった動きも、より確実かつスムーズに行えるようになります。
お口の健康を長く守るために
当院は矯正専門医院ですが、お口全体の健康を第一に考え、近隣の一般歯科医院とも密に連携しています。 虫歯や歯周病の治療、あるいはインプラントなどの補綴治療と、私たちの矯正治療。それぞれの専門性を掛け合わせることで、練馬区の皆さまの大切な歯を、より長く、健やかに守り続けるサポートをいたします。
症例紹介
- 治療前治療後
-

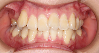
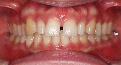
前歯部叢生
上顎両側6・上顎右側4 欠損歯症例
- 主訴
- 前歯の凸凹。奥歯がない。噛めない。
- 診療名
- 両側上6番欠損・右側4欠損、上下顎前歯部叢生
- 年齢・性別
- 30代女性
- 治療期間
- 4年1ヵ月
- 治療費用
- 1,075,000円(税込み)
※治療当時の金額となります。
- 治療説明
- 欠損歯はインプラント、上顎は残存スペースを利用して叢生の改善、下顎は大臼歯のアップライトにより叢生の改善
抜歯:下顎両側8番(計2本)
治療装置:インビザライン
固定装置:インプラントを治療途中に埋入
リテーナー:上下フィックスタイプ+プレートタイプタイプ
- リスク・副作用
- 代表的副作用:痛み・治療後の後戻り・歯根吸収・歯髄壊死・歯肉退縮
症例の詳細を見る
- 治療前治療後
-

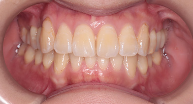
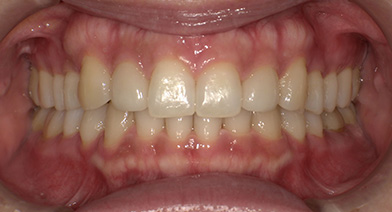
正中離開
上顎両側2 矮小歯症例
- 主訴
- すきっ歯
- 診療名
- 両側上2の矮小歯、正中離開、右側犬歯、大臼歯関係angle classⅱ
- 年齢・性別
- 40代女性
- 治療期間
- 2年1ヵ月
- 治療費用
- 1,030,000円(税込み)
※治療当時の金額となります。
- 治療説明
- 矮小歯は補綴、上顎右側臼歯の遠心移動による大臼歯関係の改善
抜歯:なし
治療装置:インビザライン
固定装置:なし
リテーナー:プレートタイプタイプ
- リスク・副作用
- 代表的副作用:痛み・治療後の後戻り・歯根吸収・歯髄壊死・歯肉退縮
症例の詳細を見る


