マウスピース矯正
- トップページ
- 精密な診査診断について
- マウスピース矯正
目立ちにくい矯正という選択肢

大泉学園の矯正歯科「よしかわ矯正歯科」では、目立ちにくい矯正方法としてマウスピース型矯正装置を導入しています。
近年、矯正治療においては「できるだけ自然に、周囲に気づかれにくく進めたい」というご希望が増えています。仕事や学校、人前に立つ機会の多い方にとって、見た目への配慮は大切な要素の一つです。当院ではそのお気持ちに寄り添いながらも、単に装置の目立ちにくいというだけで判断するのではなく、精密な診査診断を前提とした治療計画を立てています。
当院ではインビザライン
(Invisalign)を採用しています

世界中で数多くの治療実績を持つ、マウスピース矯正の代表的なシステムです。独自の3Dシミュレーションソフト(クリンチェック)を用いることで、治療開始から完了までの歯の動きを可視化し、緻密な計画に基づいた治療が可能です。
複数種類のプランから、
最適なマウスピースを選択

インビザラインには、歯並びの状態や治療の範囲に合わせた複数の治療プランが存在します。
当院では、事前の精密なシミュレーションに基づき、患者様一人ひとりの歯の移動距離や難易度に最も適したプランを歯科医師が選択して治療を行います。どのプランを使用する場合でも、目指すべきゴールや治療の質が変わることはありません。患者様にとって最も効率的で、無理のない治療プロセスを専門的な見地から判断し、ご提案いたします。
インビザライン・ファースト
(小児用)

混合歯列期(乳歯と永久歯が混ざった時期)のお子様向けのインビザラインも取り扱っています。
このプランの最大の特徴は、歯をきれいに並べると同時に、これから永久歯が正しく生え揃うための「あごの土台(スペース)」を広げて整えられる点にあります。
お子様の骨格の成長を利用してスペースを確保しておくことで、将来大人になってから矯正を行う際に、大切な歯を抜かずに済む可能性を格段に高めることができます。当院では精密なシミュレーションに基づき、この一生に一度の貴重な成長段階に適した治療タイミングを見極めてご提案いたします。
PICK UP
「ダイヤモンドプロバイダー」
認定医院として

当院は、マウスピース型矯正装置(インビザライン)の提供元より、年間の症例数に基づき付与される「ダイヤモンドプロバイダー」に認定されています。
これは、インビザライン社が設定しているランクにおいて、多くの治療実績を持つ歯科医院に贈られる称号です。当院では、これまでに蓄積された膨大な症例データに基づき、難症例も含めた幅広い歯並びのお悩みに対して、精度の高いシミュレーションと治療計画をご提案しています。
インビザラインの
メリット・デメリットについて
インビザライン
(マウスピース矯正)のメリット

目立たず、
普段どおりの生活ができる
透明なプラスチック製のため、装着していても周囲にほとんど気づかれません。また、ご自身で取り外しができるため、食事や歯みがきも治療前と変わらず快適に行えます。
痛みや違和感が少ない
滑らかな素材を使用しており、お口の中を傷つける心配がありません。また、歯を動かす力を一定にコントロールする設計のため、従来の矯正装置と比べて痛みを抑えた治療が可能です。
通院の負担を軽減できる 通院は通常4〜6週間に1回程度で済みます。お忙しい方には、状況に合わせて2ヶ月に1回の通院やメール・電話でのカウンセリングを活用し、治療を継続できる場合もあります。
コンピュータによる
精密なシミュレーション
3DシミュレーションとCAD/CAM技術を駆使し、歯の動きを緻密に予測します。治療開始前に「最終的な歯並び」や「治療完了までの正確な期間」が把握できるため、見通しを持った治療が行えます。
幅広い症例への対応
「マウスピース矯正は軽度な症例のみ」と思われがちですが、当院では豊富な経験により、現在70%以上の患者様にインビザラインでの治療をご提供しています。他院で断られた難しい症例の方も、まずは一度ご相談ください。
PICK UP
インビザラインによって
歯を抜かない(非抜歯治療)
可能性が広がります
インビザライン治療はコンピュータでシミュレーションされたマウスピースを使用し、多くの歯に一定の力をかけます。そのためワイヤーを使った一般的な矯正治療よりも歯列を広げ、歯列を奥に動かす働きが優れているので、これまでは抜歯が必要だった症例でも、歯を抜かずに並べられる可能性が高まりました。
インビザラインの得意なケース


奥歯を後ろに下げる動き、歯を少しずつ横に広げる動き、前歯の軽度な重なりや隙間の改善。
インビザラインの不得意なケース
歯の根を大きく平行移動させる動き、重度のガタガタ*、大きくねじれている歯、顎の骨格自体に大きなズレがある場合。
*重度の叢生の場合は、抜歯することでスペースはが余らず臼歯の歯体移動量は少なくできるため、一概に不得意とはいえません
※不得意なケースでも、ワイヤー矯正と併用することで対応可能な場合があります。
インビザラインのデメリット

自己管理が治療結果を左右する
取り外しが自由な反面、装着を忘れると十分な効果が得られません。理想のゴールへ近づくためには、1日20~22時間以上の装着時間を守る必要があります。
補助装置の併用が必要な場合がある
歯の移動距離や咬み合わせの状態によっては、インビザライン単独ではなく、事前に補助装置を使用して歯の動きを助けるステップが必要になるケースがあります。
治療開始までに準備期間が必要
精密検査の結果をもとにアメリカ本社と治療方針をやり取りし、オーダーメイドのマウスピース(アライナー)を製造します。そのため、検査から実際の治療開始までに6~8週間ほどの期間を要します。
インビザライン治療を
成功させるために
装着時間を守る

1日20~22時間以上の装着が必要です。装着を忘れてしまうと矯正の効果が出ずに治療が進みません。食事と歯みがき以外の時間は装着するようにしましょう。自己管理が治療結果に直結します。
飲食時のルール

水以外の飲み物や食事の際は必ず外してください。装着したままの水以外の飲食物を摂取するのはむし歯や歯周病リスクを非常に高めます。
アタッチメント
歯の移動を助けるために、歯の表面にアタッチメントと呼ばれる突起(小さいポッチ)を貼り付けます。アタッチメントは歯と同じ色なので目立ちません。また貼り付ける数や部位は患者様によって異なります。
IPR(歯の幅を小さくする)

歯の移動をスムーズにしたり、歯のデコボコを改善したりするために、歯と歯の間にヤスリをかけて、歯の幅を小さくする処置を行う場合があります。
顎間ゴム

歯の動きを助けるために、上下の歯に矯正用ゴム(エラスティック)をかける場合があります。症状によって一日中つける場合や就寝時のみの場合があります。
定期的な交換

指示されたスケジュール通りに、新しいマウスピースへ交換してください。
インビザライン装着時の注意点
新しいアライナーの装着
新しいアライナーを装着するときは、必ず水で軽くすすいでから装着します。アタッチメントをしっかりとフィットしていれば押し込んだ際に「パチン」と音がします。次のステージのアライナーに進むときは、長い装着時間が確保できる就寝時から開始してください。
取り外し方
アタッチメントが複数ある場合は歯の外側から外すのが困難になる場合があります。奥歯の裏側のアライナーのすみを持ち上げるようにすると外しやすくなります。
また、アライナーの破損を招かないよう朝は左から外す、昼は右から外すなど交互に外すように心がけてください。
アライナーチューイー
歯とアライナーをフィットさせるため、アライナーチューイーを使用してください。毎食後アライナー装着時に2~3分ほど噛んでください。
次のステージのアライナーに進んだときは、毎食後のアライナー装置時に20~30分ほど、奥歯から順番にかみしめる動作を行います。3日ほどでフィットするようになります。
アライナーの洗浄
アライナーの洗浄は、やわらかい毛の歯ブラシを使い水に流しながらやさしく洗浄してください。お湯を使うと変形してしまう可能性があるので必ず水を使い、市販の歯みがき粉や入れ歯洗浄剤は使用しないでください。
アライナーの紛失

使用中のアライナーを紛失した場合、まずは医院へお電話にてご連絡ください。休診日などで連絡がつかないときは、新しいアライナーを始めて1週間以内の場合はひとつ前のアライナーに戻し、1週間以上経つ場合は次のアライナーに進んでください。
※ひとつまえのアライナーは必ず保管をしておくようにしましょう。
PICK UP
アライナー装着時の飲食とケア
お食事の際は必ず外しましょう
お食事の際は、アライナーを外していただくのが基本です。もし装着したまま食事をされた場合は、食後できるだけ早く装置を外し、お口の中とアライナーの両方をよくすすいで清潔に保ちましょう。
飲み物についての注意点
お水や無糖のお茶であれば、装着したままでも問題ありません。ただし、コーヒー・赤ワイン・紅茶などはアライナーに色がつきやすく、喫煙は汚れの原因になるため注意が必要です。
甘い飲み物や
炭酸飲料は避けましょう
砂糖を含む飲み物や炭酸飲料は、アライナーの中に液体が入り込むと、長時間歯を酸や糖にさらすことになり、むし歯のリスクを急激に高めてしまいます。装着中の摂取は控え、飲んだ後は早めにブラッシングをすることをおすすめします。
マウスピース矯正と
そのほかの矯正の違い
マウスピース矯正とリンガル(裏側)矯正

どちらも「周囲に気づかれにくい」のが特徴ですが、目立たない仕組みや使い心地に違いがあります。
マウスピース矯正は透明な装置で歯全体を覆うタイプで、食事や歯みがきの際は自由に取り外せます。一方、リンガル矯正は歯の裏側に装置を固定するため、正面からは装置が全く見えません。リンガル矯正は舌が装置に触れるため、はじめは違和感や発音のしにくさを感じることがありますが、徐々に慣れていきます。しかし、ワイヤーやブラケットに挟まりやすい食べ物や硬い食べ物を摂る時は、注意が必要です。
| マウスピース矯正 | |
|---|---|
| 見た目 | ほとんど目立たないがよく見ると分かる |
| 治療可能な症例 | ○ |
| 抜歯が必要な 症例 |
○ |
| 矯正装置の着脱 | 可能 |
| 金属アレルギーの対応 | 心配なし |
| リンガル矯正 | |
|---|---|
| 見た目 | 正面から見えない |
| 治療可能な症例 | ○ |
| 抜歯が必要な 症例 |
○ |
| 矯正装置の着脱 | 不可能 |
| 金属アレルギーの対応 | 素材に注意が必要 |
マウスピース矯正とワイヤー矯正

マウスピース矯正とワイヤー矯正の大きな違いは、取り外しできるかどうかです。
マウスピース矯正は、食事や歯みがきの際に取り外せるため、生活リズムを変えずに治療を進められるのが魅力です。一方、ワイヤー矯正は固定式のため、お手入れに工夫が必要ですが、装置を管理する手間がないという特徴があります。
| マウスピース矯正 | |
|---|---|
| 見た目 | ほとんど目立たないがよく見ると分かる |
| 治療可能な症例 | ○ |
| 抜歯が必要な 症例 |
○ |
| 矯正装置の着脱 | 可能 |
| 金属アレルギーの対応 | 心配なし |
| ワイヤー矯正 | |
|---|---|
| 見た目 | ブラケットの種類によって目立つ |
| 治療可能な症例 | ◎ |
| 抜歯が必要な 症例 |
○ |
| 矯正装置の着脱 | 不可能 |
| 金属アレルギーの対応 | 素材に注意が必要 |
インビザライン矯正治療の流れ
- Step01
-
初診カウンセリング

まずは歯並びのお悩みやご希望を詳しく伺います。お口の中を拝見し、インビザラインの適応可否や、治療期間・費用の目安について丁寧にご説明します。
- Step02
-
精密検査

正確な診断のために、レントゲン撮影(セファロ含む)、歯科用3DCT、顔写真・口腔内写真の撮影を行います。歯並びだけでなく、骨格や根の状態まで詳しく調べます。
- Step03
-
歯の型取り(口腔内スキャン)

口腔内スキャナー(iTero)を使用し、お口の中を数分でスキャンします。従来の粘土のような型取りは不要で、精密な3Dデータをその場で取得できます。
- Step04
-
歯の移動シミュレーション

取得したデータを元に、専用ソフト「クリンチェック」で治療完了までの歯の動きをシミュレーションします。歯が動くプロセスや最終的な仕上がりを、事前にご自身の目で確認していただきます。
- Step05
-
装着開始

完成したマウスピースをお渡しし、いよいよ矯正治療がスタートします。装着方法や取り外しのコツ、お手入れの仕方、1日20時間~22時間以上の装着が必要であることなど、治療をスムーズに進めるための大切なポイントを丁寧にご説明いたします。正しく使用していただくことが、計画通りに歯を動かすための鍵となります。
- Step06
-
定期チェック

1~2ヶ月に一度のペースで通院していただき、計画通りに歯が動いているかチェックします。必要に応じて、歯を動かす補助パーツ(アタッチメント)の調整なども行います。
- Step07
-
治療終了・保定期間開始

歯並びと咬み合わせが整った段階で、矯正治療はいったん完了となります。しかし、歯を動かした直後は周囲の骨や歯ぐきがまだ安定しておらず、元の位置へ戻ろうとする後戻りが起こりやすい状態です。そのため、保定装置(リテーナー)を装着し、整えた歯並びをしっかりと固定していきます。
保定期間や装着時間はお口の状態によって異なりますので、指示を守りながら定期的に経過を確認していきましょう。
- Step08
-
定期メインテナンス

私たちの身体は一生変化し続けるため、保定期間を過ぎた後も後戻りの可能性はゼロではありません。
定期的なチェックを受けることで、もし変化が生じても早期に対応が可能です。お口全体の健康を維持し、美しい歯並びを一生維持していくための大切なサポート期間です。
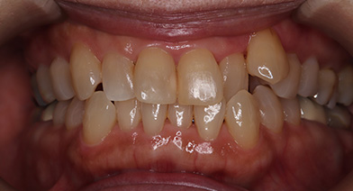
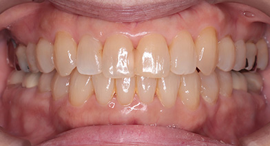
症例紹介
- 治療前治療後
-

上下顎前歯部叢生、上顎左側犬歯低位症例
- 主訴
- 八重歯
- 診療名
- 前歯部叢生、上顎正中左側偏位
- 年齢・性別
- 60代女性
- 治療期間
- 1年6ヵ月
- 治療費用
- 精密検査代:35,000円
装置代:740,000円
処置代:141,000円
保定装置代:40,000円
⇒総額:956,000円(税込み)
※治療当時の金額となります。
- 治療説明
- 上下顎共に臼歯の遠心移動、IPRによるスペースメイキング
抜歯:なし
治療装置:インビザライン
固定装置:なし
リテーナー:クリアリテーナータイプ
- リスク・副作用
- 代表的副作用:痛み・治療後の後戻り・歯根吸収・歯髄壊死・歯肉退縮
症例の詳細を見る


