非抜歯の条件
- トップページ
- 精密な診査診断について
- 非抜歯の条件
当院の歯を抜かない矯正治療「非抜歯矯正」について

大泉学園の「よしかわ矯正歯科」では、「できる限り天然歯を残したい」という想いを大切にし、親知らずを除く「28本の歯をすべて残して並べる非抜歯矯正*」を基本方針の一つとしています。
とはいえ、すべての症例で非抜歯が適応となるわけではありません。当院では、歯と顎の大きさのバランス、前歯の傾斜角度、横顔のライン、噛み合わせの深さなどを総合的に評価し、歯を抜かずに十分なスペースが確保できるかを慎重に判断します。
将来的な安定性や後戻りのリスクまで見据え、機能と審美の両立を目指した、患者様にとってメリットの大きい治療計画をご提案いたします。
*矯正治療における「抜歯」とは一般的に小臼歯などを抜くことを指し、噛み合わせに直接関係のない親知らずを抜いてスペースを調整する場合は、一般的には非抜歯矯正の範疇となります。
非抜歯矯正への想い

当院では多くの患者様が、抜歯を伴わない矯正治療を選択されています。 矯正技術の進歩により、以前であれば抜歯が必要とされたケースでも、歯を抜かずにきれいに整えられる可能性が格段に高まりました。
しかし現在でも、一般的には上下左右で計4本の健康な歯を抜いてスペースを作る手法が多く選ばれています。「歯並びを治すために、なぜ健康な歯を犠牲にしなければならないのか?」そう疑問に感じるのは当然のことです。
「可能な限り、ご自身の健康な歯を失いたくない」という患者様の切実な想いは、私たちよしかわ矯正歯科も同じです。当院では、その想いに応えるために、非抜歯を優先した精緻な治療計画をご提案しているのです。
ケースごとの
非抜歯矯正の進め方
奥歯の歯の位置、下顎の正しい位置関係のコントロールにより治療します。 悪いガタガタな咬み合わせ(乱杭)は以下のようにスペースを確保します。
奥歯が近心(手前)に回転しているケース

奥歯を後ろ側に移動させることで、スペースを作ることが可能です。
歯全体的に近心(手前)に倒れ込んでいるケース

歯全体を後ろ側に起こすことでスペースを作ることが可能です。
歯の軸が全体的に舌側に倒れ込んでいるケース

歯全体を唇側(ほっぺ側)に起こすことでスペースを作ることが可能です。
PICK UP
「抜かない」ためのあらゆる可能性を、まず検討します

一見スペースがないように見える歯並びでも、工夫次第で必要なスペースを作ることは可能です。なお、親知らずがある場合は、歯並びを乱す原因となったり、奥歯を移動させる際の妨げになったりすることが多いため、抜歯をご提案しています。 これらの処置を検討してもなお、歯の重なりを解消しきれないと判断した場合に限り、はじめて中間の歯(小臼歯)の抜歯を慎重に検討いたします。
抜歯矯正のリスク
抜歯矯正には、歯を大きく動かせるというメリットがある一方で、慎重に検討すべき点も存在します。当院が非抜歯を重視するのは、以下のようなリスクを最小限に抑えたいと考えているからです。
お顔立ちや口元の
バランスへの影響

上下4本の小臼歯を抜くことで、前歯が下がりすぎてしまい、口元のボリュームが失われて寂しい印象を与えてしまうことがあります。
お口の機能スペースの
確保への影響

抜歯によって歯列のアーチが過度に狭くなると、舌のスペースが制限され、呼吸のしやすさや噛む力のバランスに影響を及ぼす可能性が指摘されています。また、歯列のアーチが小さくなる事による、睡眠時無呼吸症候群が発生する場合があります。
顎関節や噛み合わせへの影響

顎の位置関係が変化することで、顎関節への負担が生じるケースも考えられます。
長期的な安定性

無理な抜歯によって理想的な噛み合わせが構築できないと、矯正終了後に歯が元の位置に戻ろうとする「後戻り」の原因になることがあります。
非抜歯・抜歯それぞれの歯の
動き方
非抜歯の場合

前歯の歯の軸は適正であり、下顎の誘導は問題なく行われます。
小臼歯(4番か5番目の歯)を抜いた場合

前歯の舌側傾斜(内側に倒れむ)を招くことが多く、適切な下顎の誘導を阻害することが多く見受けられます。上図は顎の関節の運動経路ですが、後ろ側に押し込められてしまいます。このことが、顎関節へ負担をかけ、痛みがでる原因となります。
抜歯が必要と判断する具体的なケース
当院では、大切な歯を残す「非抜歯矯正」を第一に考え、あらゆる治療法を検討します。 しかし、お口全体の健康や将来の安定性を守るために、抜歯を選択した方が患者様にとってメリットが大きいと判断するケースもございます。
上下の顎のズレが大きい場合

上顎が大きく突出しており、歯の移動だけでは正しい噛み合わせを作ることが難しいと判断されるケース。
顎の骨の形による制限がある場合

顎の幅を広げたり、奥歯を後ろに下げたりするスペースが、顎の骨の大きさや構造上、物理的に確保できないケース。
お顔立ちのバランスを
優先する場合

歯並びが整っても、非抜歯では「口元の突出感」を十分に改善できず、患者様が希望されるお顔立ちのバランス(Eラインなど)が実現できないケース。
治療の進行状況により、抜歯が最善と判断される場合
非抜歯で治療を開始したものの、歯の動きが想定と異なり、抜歯によって移動距離を短縮した方が、歯根や周囲の組織への負担を抑え、より健康的に仕上がると判断されるケース。
抜歯・非抜歯のどちらが最適かは、精密な「スペース分析」の結果に基づき、患者様とじっくりご相談した上で決定いたします。
臼歯の遠心運動はどういう条件で可能か
奥歯を後ろに動かせるかどうかを左右する「骨の奥行き」

歯を抜かずにスペースを作る手法の一つに、奥歯(大臼歯)を後方へ移動させる「遠心移動」があります。これが可能かどうかは、精密なセファロ分析(顔面のレントゲン分析)による数値的な根拠に基づいて判断します。
PTV(翼突上顎垂直面)からの距離

上顎の奥に、歯が移動できるだけの「堤防(骨の奥行き)」がどれくらいあるかを測定します。
数値が大きい場合
奥歯を後ろへ動かせる可能性が高く、非抜歯矯正の適応となる期待が持てます。
数値が小さい場合
スペースが不足しており、無理に動かすと一番奥の歯(第二大臼歯)が埋まったままになったり、正しく生えてこなかったりするリスクがあります。
PM line(翼突下顎線)と歯の位置

将来的に歯が並ぶスペースは、成長とともに変化します。検査時、奥歯の芽(歯胚)がこのラインより前方にあれば、非抜歯で治療できる可能性が高いと判断されます。
治療の精度に影響を与えるお口の環境因子
顔立ちのタイプ(Facial type)
歯科矯正学における「ハイアングル(High angle)」と「ローアングル(Low angle)」は、下顎下縁平面角(Mandibular Plane Angle: MPA)、つまり下顎の骨がどれくらい傾いているかによって分類される顔の骨格タイプです。
High angle
下顎平面角が大きく、下顎が下の方に傾いて(開いて)成長した骨格。咬合平面に沿った遠心移動が達成されないと、下顎枝が短いため、臼歯の遠心移動とともに、開咬となるリスクがあるため、下顎のポジション変化を緻密に予測した計画が不可欠です。
Low angle
下顎平面角が小さく、下顎が水平に閉じるような形で成長した骨格。咬合力が強いことや、歯槽骨密度が高いことから歯の移動が起こりにくい傾向にある。
上顎洞(鼻の横の空洞)との関係
上顎の奥歯の根元には「上顎洞」という空洞があります。この空洞が大きく、歯の根が空洞内に突き出しているような場合は、移動の障壁となることがあります。また、空洞の壁に歯の根が当たると、歯を平行に移動させることが難しくなるため、CT等での事前の確認が不可欠です。
歯の傾斜との関係
上の前歯
上顎前歯がもともと強く外側に傾いている場合、奥歯を後ろに押す反動で前歯がさらに外へ広がってしまうリスク(フレアー)があり、リカバリーが難しくなります。これを防ぐための緻密なコントロールが必要です。
下の前歯
下顎前歯がもともと強く外側に傾いている場合は、二級ゴム(顎間ゴム)を使用しにくくなるなどの影響があります。
PICK UP
抜歯を回避するために知っておきたい「治療開始のタイミング」

非抜歯矯正において奥歯を後ろへ動かす(遠心移動)際、その成功率と治療の効率を左右するのが「治療を開始するタイミング」です。
最も奥にある第二大臼歯(12歳臼歯)が完全に生えきる前であれば、周囲の組織の抵抗が少なく、奥歯を後方へスムーズに移動させやすいという大きなメリットがあります。この時期に治療を行うことで、奥歯を後ろに押し下げる際の反動(アンカーロス)を最小限に抑えられ、歯を抜かずに並べるためのスペースをより確実に確保することが可能になります。
抜歯を避けるためのさまざまな治療法
マウスピース型矯正
(インビザライン)

デジタルシミュレーションを活用し、奥歯を後方へ移動(遠心移動)させることで、歯を抜かずに並べるための隙間を作り出すことが可能です。
シューライダー装置
(SHU-lider®)

シューライダー装置(SHU-lider®)は、歯を傾けるのではなく、歯根ごと平行に移動させる「歯体移動」が可能な矯正装置です。特に上顎犬歯を十分に後方へ歯体移動できる点が特長で、前歯や歯槽骨、歯肉も含めて口元全体を後方へ下げることが可能です。さらに症例によっては大臼歯の遠心移動を行うことでスペースを確保し、小臼歯を抜歯せずに治療できる可能性が広がります。
矯正用アンカースクリュー
(ミニインプラント)

小さなネジを顎の骨に一時的に埋め込み、それを「固定源」として歯を動かします。従来の装置では難しかった大幅な歯の移動が可能になり、抜歯の適応だった症例も非抜歯で治療できるケースが増えています。
側方拡大

歯列の横幅をゆっくりと広げることで、歯をきれいに並べるためのスペースを確保します。顎の成長期のお子様だけでなく、成人の場合も骨の厚みを考慮しながら慎重に行います。
ディスキング(IPR)

歯の表面(エナメル質)を数ミリ単位でわずかに削り、隙間を作ります。歯の健康に影響のない範囲で行い、抜歯をせずにガタガタを解消する有効な手段となります。
MEAW法

従来の治療法に比べ、歯を三次元的に移動させることができる治療法、それがMEAW法です。MEAW法ではループ状のワイヤーを使用し、歯がすべて正常に並ぶように顎全体を広げながら、1本1本の歯を前後左右にゆっくりと移動させることができます。そのため、歯を抜かない矯正治療が可能になります。また、すべての歯を同時に移動させられるため、従来の治療法よりも治療期間が短く済みます。
症例紹介
- 治療前治療後
-

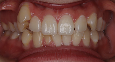
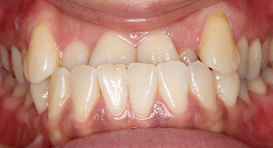
上下顎前歯部叢生症例
- 主訴
- 八重歯、前歯の凸凹、上顎右側犬歯低位
- 診療名
- 13の低位、上下顎前歯部叢生、下顎正中右側偏位
- 年齢・性別
- 20代女性
- 治療期間
- 1年8ヵ月
- 治療費用
- 精密検査代:38,000円
装置代:840,000円
処置代:102,000円
保定装置代:40,000円
⇒総額:1,020,000円(税込み)
※治療当時の金額となります。
- 治療説明
- 上下顎大臼歯のアップライト、IPRによるスペースメイキング、17抜歯し、18を咬合させる
抜歯:17番(計1本)
治療装置:インビザライン
固定装置:なし
リテーナー:fixリテーナー+クリアリテーナー
- リスク・副作用
- 痛み・治療後の後戻り・歯根吸収・歯髄壊死・歯肉退縮
症例の詳細を見る
- 治療前治療後
-

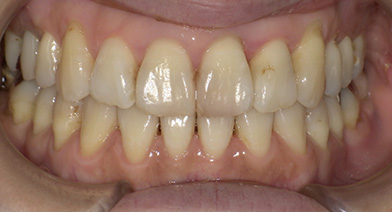
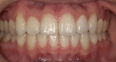
下顎前突、反対咬合、上顎前歯部叢生症例
- 主訴
- 反対咬合。口元の改善
- 診療名
- 下顎前突、前歯部叢生
- 年齢・性別
- 30代女性
- 治療期間
- 4年9ヵ月
- 治療費用
- 精密検査代:39,000円
装置代:780,000円
処置代:333,000円
保定装置代:40,000円
⇒総額:1,192,000円(税込み)
※治療当時の金額となります。
- 治療説明
- 16、36、46抜歯によるスペースメイキング。
※8番があるため、6番抜歯
抜歯:上顎左側6番、下顎両側6(計3本)
治療装置:マルチブラケット装置、インビザライン
固定装置:なし
リテーナー:クリアリテーナータイプ
- リスク・副作用
- 痛み・治療後の後戻り・歯根吸収・歯髄壊死・歯肉退縮
症例の詳細を見る

上顎前突、正中離開症例
- 主訴
- 出っ歯
- 診療名
- 上顎前歯部唇側傾斜、過蓋咬合
- 年齢・性別
- 10代男性
- 治療期間
- 2年8か月
- 治療費用
- 精密検査代:38,000円
装置代:720,000円
処置代:153,000円
保定装置代:40,000円
⇒総額:951,000円(税込み)
※治療当時の金額となります。
- 治療説明
- カリエールディスタライザーによる、上顎大臼歯の遠心移動、下顎位の前方適応を行った後、ワイヤーによる上顎前歯を後方移動しました。
今回のケースは、下顎が前方適応がうまくいくかがポイントでした。この患者様は、前歯の早期接触があり、下顎がかみ込むと後方に下がるため、下顎が前方適応すると見込んで治療を開始しました。ケースによっては、小臼歯抜歯、外科矯正となることもあります。抜歯:上顎両側8番
治療装置:カリエールディスタライザー、マルチブラケット装置
固定装置:なし
リテーナー:クリアリテーナータイプ
- リスク・副作用
- 痛み・治療後の後戻り・歯根吸収・歯髄壊死・歯肉退縮
症例の詳細を見る


