アンカースクリューシューライダー
- トップページ
- 精密な診査診断について
- アンカースクリューシューライダー
アンカースクリューを使った効率的な矯正(SHU-lider®)

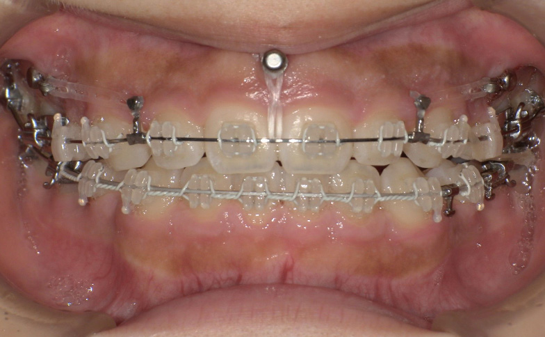
大泉学園の矯正歯科「よしかわ矯正歯科」では、アンカースクリューを使った効率的な矯正治療として、SHU-lider®(シューライダー)を導入しています。従来の装置だけでは難しかった歯の移動を、より正確かつ安定的に行うためのシステムです。抜歯をできる限り避けたい方や、口元をしっかりと後退させたい方など、より高度なコントロールが求められる症例において、大きな力を発揮します。
このような方におすすめです

- できるだけ歯を抜かずに歯並びを整えたい
- 出っ歯や口元の突出感を、しっかり後ろに下げたい(口ゴボの改善)
- 過去の相談で「これ以上の移動は難しい」と言われた
- 治療後の後戻りリスクを最小限に抑えたい
次世代型の装置「SHU-lider®(シューライダー)」とは

SHU-lider®は、顎の骨に一時的に埋入する「矯正用アンカースクリュー」を固定源(支柱)として利用する、画期的な装置です。 従来の装置では難しかった、歯を根っこから平行に動かす「歯体移動」を効率的に行うことができます。ダイナミックな歯の移動を可能にすることで、抜歯を回避したり、治療期間を短縮したりすることが期待できる次世代の矯正システムです。
「歯体移動(平行移動)」
が重要な理由
矯正における歯の動きには、大きく分けて2つの種類があります。
傾斜移動(歯を倒して動かす)

歯の頭(冠)の部分だけを倒すように動かす従来の方法です。歯の根っこが元の位置に取り残されるため、治療後に歯が元の角度に戻ろうとする「後戻り」が起きやすい傾向にあります。また、無理に角度をつけると歯の根っこが骨の幅からはみ出しやすく、歯ぐきが下がってしまう(歯肉退縮)リスクも懸念されます。
歯体移動
(歯を根っこごと水平に動かす)

SHU-lider®が得意とする方法で、歯の頭と根っこをそのまま平行にスライドさせる方法です。歯を支える骨(歯槽骨)の中にしっかりと根っこを収めたまま移動できるため、歯ぐきへの負担を抑えつつ、美しく整えることが可能です。土台から正しい位置に移動させるため、治療後の安定感(後戻りのしにくさ)も向上します。
シューライダー装置
(SHU-lider®)の特長
「抜かない矯正」の
可能性を広げる

上顎の奥歯を後方へ大きく移動させることができるため、これまでは抜歯が必要だった症例でも、小臼歯を抜かずにスペースを作れる可能性が高まります。
前歯を根元から下げ、理想的なEラインへ導く

前歯やその歯槽骨、歯肉ごとしっかりと後方へ下げられるため、横顔のライン(Eライン)や口元の突出感の改善に大きな効果を発揮します。
歯を健やかに守る移動法

歯根ごと平行に動かすため、歯が歯槽骨からはみ出してしまう「歯肉退縮」のリスクを抑え、安全に移動させることができます。
マウスピース矯正やワイヤー矯正を強力にサポート
インビザラインなどのマウスピース装置や、通常のワイヤー装置だけでは移動が難しい症例でも、シューライダーを併用することで治療の幅が大きく広がります。
PICK UP
アンカースクリューで
反作用を避ける

従来の矯正治療では、動かしたい歯を引っ張るための「固定源(支柱)」として、他の歯を利用していました。しかし、この方法では動かしたい歯だけでなく、支えにしている歯までつられて動いてしまう「反作用」を避けることが難しいという側面がありました。
矯正用アンカースクリューを一時的に骨へ設置し、これを強固な固定源とすることで、「動かしたくない歯」をしっかりと留めたまま、目的の歯だけを計画通りに移動させることが可能になります。これにより、従来の装置単独では難しかった複雑な歯の移動をスムーズにし、より精度の高い治療結果へと導きます。
適応の判断について

シューライダーは非常に優れた装置ですが、すべての方に適応するわけではありません。顎の骨の厚みや歯の状態、ライフスタイルに合わせて、精密な診査・診断(CTやセファロ分析)のもとで使用を判断いたします。まずは、あなたの理想を叶えるために最適な選択肢を、一緒に考えていきましょう。


