出っ歯
【10代男性】出っ歯症例
- 治療前 治療後
-

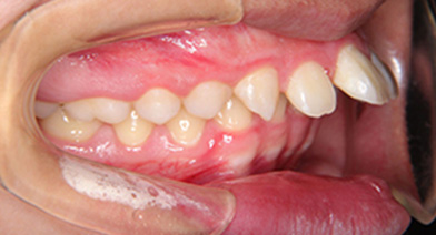
治療前(横)

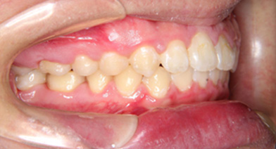
治療後(横)

治療前(横顔)

治療後(横顔)
| 症例タイトル | 出っ歯 |
|---|---|
| 治療内容 | カリエールディスタライザーによる、上顎大臼歯の遠心移動、下顎位の前方適応を行った後、ワイヤーによる上顎前歯を後方移動しました。 今回のケースは、下顎が前方適応がうまくいくかがポイントでした。この患者様は、前歯の早期接触があり、下顎がかみ込むと後方に下がるため、下顎が前方適応すると見込んで治療を開始しました。ケースによっては、小臼歯抜歯、外科矯正となることもあります。 |
| 患者さまの年齢 | 10代 |
| 患者さまの性別 | 男性 |
| 治療期間 | 2年8か月 |
| 治療にかかった総額 | 精密検査代:38,000円 装置代:720,000円 処置代:153,000円 保定装置代:40,000円 ⇒総額:951,000円(税込み) ※治療当時の金額となります。 |
| 治療する際に起こる リスク・副作用 |
痛み・治療後の後戻り・歯根吸収・歯髄壊死・歯肉退縮 |
よしかわ矯正歯科

〒178-0063
東京都練馬区東大泉1-33-6 大泉セントラルビル203
TEL:03-3924-9191
診療時間:
火~金 11:00~13:00/14:30~20:00
土・日* 9:00~12:00/13:00~17:30
休診日:月曜・木曜・祝日・日曜(不定期)
*日曜(月2回不定期診療)



