叢生(乱杭歯)
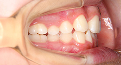
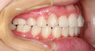
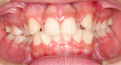
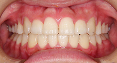
【20代女性】乱杭(らんくい)歯・開咬症例
- 治療前 治療後
-

治療前(横)

治療後(横)
| 症例タイトル | 乱杭(らんくい)歯・開咬 |
|---|---|
| 治療内容 | 抜歯をせずにマルチブラケット装置により矯正治療を行いました。歯列弓の拡大を行って上下の奥歯を後方へ移動させて歯がきれいに並ぶスペースを確保し、歯の幅も少し削って細くしきれいに並ぶように整えました。 今回のケースでは、アーチの拡大や後方移動が可能でしたが、ケースによっては、困難な場合もあり、歯ぐきが下がることもあります。そういった可能性が強い場合は、小臼歯抜歯を行うこともあります。 |
| 患者さまの年齢 | 20代 |
| 患者さまの性別 | 女性 |
| 治療期間 | 1年6ヶ月 |
| 治療にかかった総額 | 74万円 (税込81万4千円)+処置料+経過観察料 |
| 治療する際に起こる リスク・副作用 |
痛み・治療後の後戻り・歯根吸収・歯髄壊死・歯肉退縮 |
よしかわ矯正歯科

〒178-0063
東京都練馬区東大泉1-33-6 大泉セントラルビル203
TEL:03-3924-9191
診療時間:
火~金 11:00~13:00/14:30~20:00
土・日* 9:00~12:00/13:00~17:30
休診日:月曜・木曜・祝日・日曜(不定期)
*日曜(月2回不定期診療)



