その他
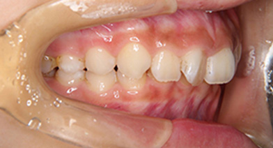
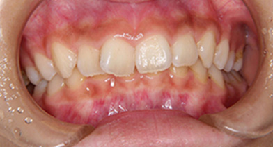
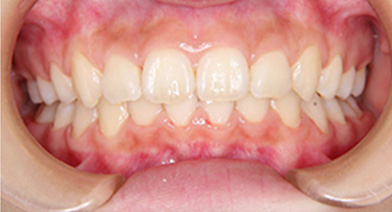
【10代女性】過蓋咬合症例
- 治療前 治療後
-

治療前(横)
| 症例タイトル | 過蓋咬合 |
|---|---|
| 治療内容 | かみ合わせが深く、下顎が後方におしこめられているケースになります。 まず、バイトプレートによるかみ合わせの高さ、下顎の前方適応のコントロールをした後、ワイヤーを装着しました。 下顎の前方適応が難しいケースは、上顎の大臼歯の遠心移動が必要なこともあります。 |
| 患者さまの年齢 | 10代 |
| 患者さまの性別 | 女性 |
| 治療期間 | 1年4ヶ月 |
| 治療にかかった総額 | 78万円 (税込85万8千円)+処置料+経過観察料 |
| 治療する際に起こる リスク・副作用 |
痛み・治療後の後戻り・歯根吸収・歯髄壊死・歯肉退縮 |
よしかわ矯正歯科

〒178-0063
東京都練馬区東大泉1-33-6 大泉セントラルビル203
TEL:03-3924-9191
診療時間:
火~金 11:00~13:00/14:30~20:00
土・日* 9:00~12:00/13:00~17:30
休診日:月曜・木曜・祝日・日曜(不定期)
*日曜(月2回不定期診療)


