受け口
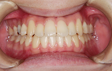
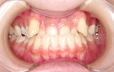
【10代男性】受け口(反対咬合・上顎前歯部叢生)症例
- 治療前 治療後
-
| 症例タイトル | 受け口(反対咬合・上顎前歯部叢生) |
|---|---|
| 治療内容 | 非抜歯での矯正治療で、上顎前歯部の前方拡大、上下顎大臼歯(奥歯)を奥に遠心移動を行いました。 今回のケースは、前歯部の早期接触があったため、反対咬合の改善は容易でしたが、シビアなケースでは、外科矯正が必要な場合があります。 |
| 患者さまの年齢 | 10代 |
| 患者さまの性別 | 男性 |
| 治療期間 | 1年5ヶ月 |
| 治療にかかった総額 | 74万円 (税込81万4千円)+処置料+経過観察料 |
| 治療する際に起こる リスク・副作用 |
痛み・治療後の後戻り・歯根吸収・歯髄壊死・歯肉退縮 |
よしかわ矯正歯科

〒178-0063
東京都練馬区東大泉1-33-6 大泉セントラルビル203
TEL:03-3924-9191
診療時間:
火~金 11:00~13:00/14:30~20:00
土・日* 9:00~12:00/13:00~17:30
休診日:月曜・木曜・祝日・日曜(不定期)
*日曜(月2回不定期診療)



