開咬
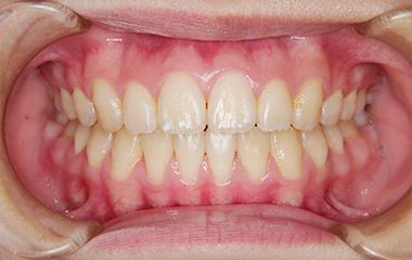
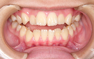
【10代女性】開咬症例
- 治療前 治療後
-
| 症例タイトル | 開咬 |
|---|---|
| 患者さまの主訴 | 口が閉じられない |
| 治療内容 | マルチブラケット装置を使用。 奥歯が強く当たっているので咬合平面を改善し、上顎の歯列を整え、さらに下の顎の位置をコントロールして上下の歯が咬み合うようにしました。 骨格的な問題、舌癖による前歯部の唇側傾斜があるため、後戻りしないように、注意深く経過をみていく必要があります。また上顎の大臼歯の遠心移動(奥歯の後方移動)が叢生を改善するために必要な場合は、臼歯部の干渉をおこし、開咬をさらに悪化させることがあるため注意が必要です。 |
| 患者さまの年齢 | 10代 |
| 患者さまの性別 | 女性 |
| 治療期間 | 1年2ヶ月 |
| 治療にかかった総額 | 74万円 (税込81万4千円)+処置料+経過観察料 |
| 治療する際に起こる リスク・副作用 |
痛み・治療後の後戻り・歯根吸収・歯髄壊死・歯肉退縮 |
よしかわ矯正歯科

〒178-0063
東京都練馬区東大泉1-33-6 大泉セントラルビル203
TEL:03-3924-9191
診療時間:
火~金 11:00~13:00/14:30~20:00
土・日* 9:00~12:00/13:00~17:30
休診日:月曜・木曜・祝日・日曜(不定期)
*日曜(月2回不定期診療)



