非抜歯矯正
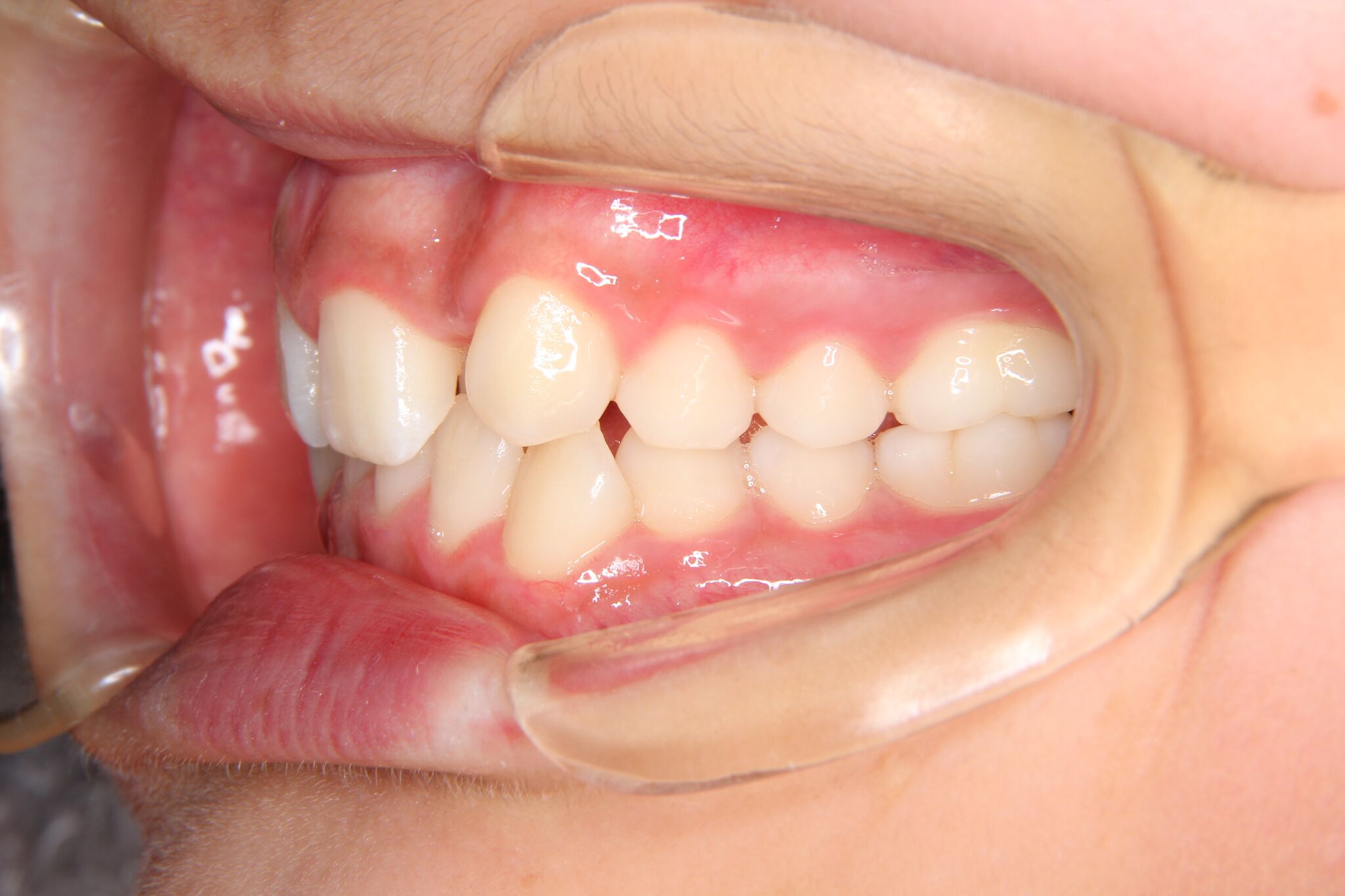
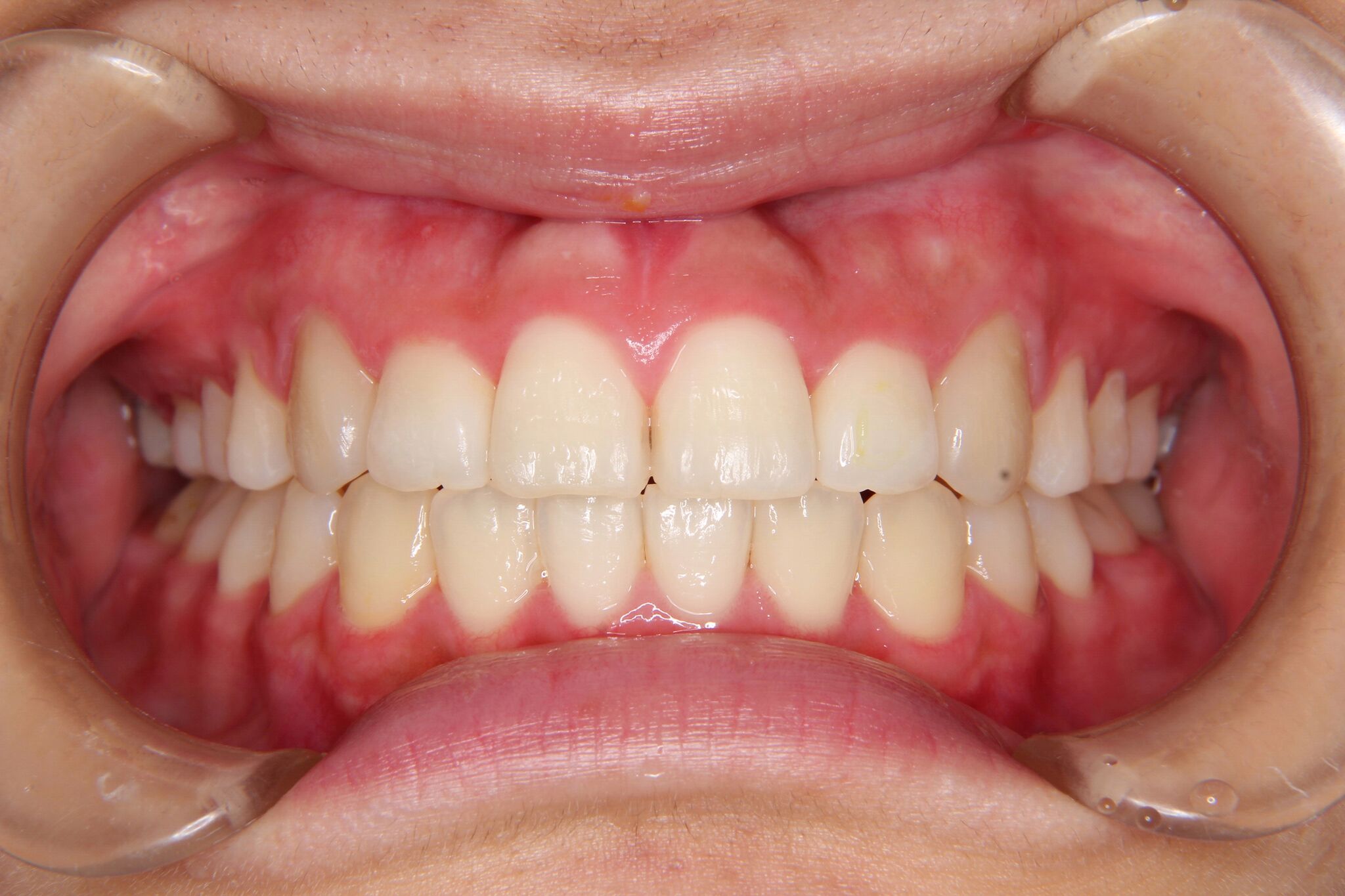
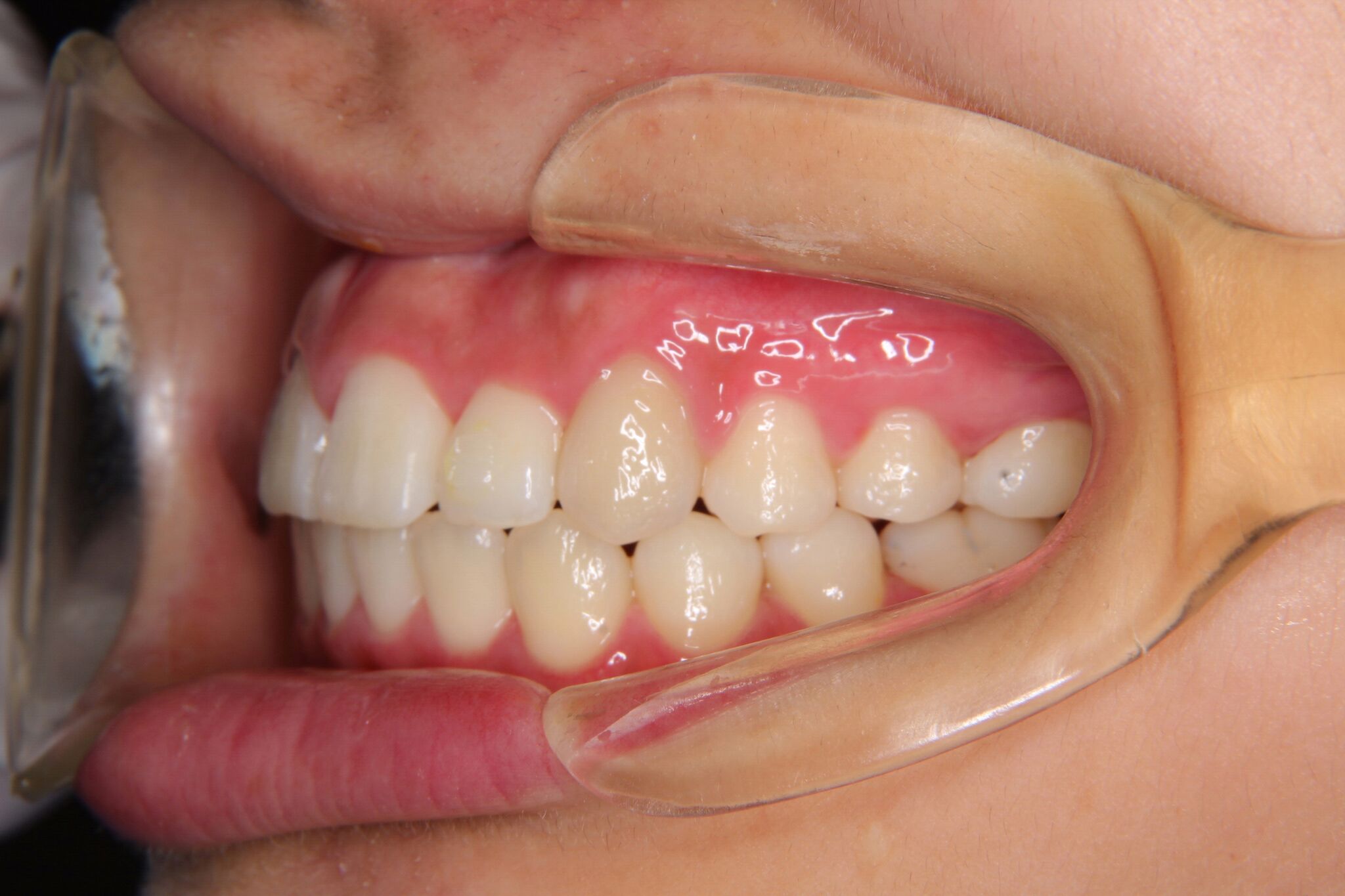
上下顎前歯部叢生
【患者】 10代 女性
【費用】 矯正装置料74万円+処置料6000円/回
マルチブラケット装置(ワイヤー矯正)
※掲載の費用は治療当時のものであり、2025年の料金改定に伴い、現在の費用とは異なります。最新の料金は、料金表ページにてご確認ください。
【期間】 1年4カ月
- 治療前 治療後
-



【治療計画】
- 上顎大臼歯部の遠心移動
- 上下顎アーチフォームの拡大
- 下顎位の前方適応
上顎前歯部の強い舌側傾斜により、下顎位が後方に下がっているケース。大臼歯関係はangle class監でしたが、特級関係を作ることができました。

【リスク・副作用】
ディスキング(歯を少し削る)が必要です。
ワイヤー矯正により歯磨きが少し大変になります。歯磨きを怠ると
虫歯や歯周炎のリスクが高まります。
練馬区大泉学園 よしかわ矯正歯科 吉川
よしかわ矯正歯科

〒178-0063
東京都練馬区東大泉1-33-6 大泉セントラルビル203
TEL:03-3924-9191
診療時間:
火~金 11:00~13:00/14:30~20:00
土・日* 9:00~12:00/13:00~17:30
休診日:月曜・木曜・祝日・日曜(不定期)
*日曜(月2回不定期診療)


