その他
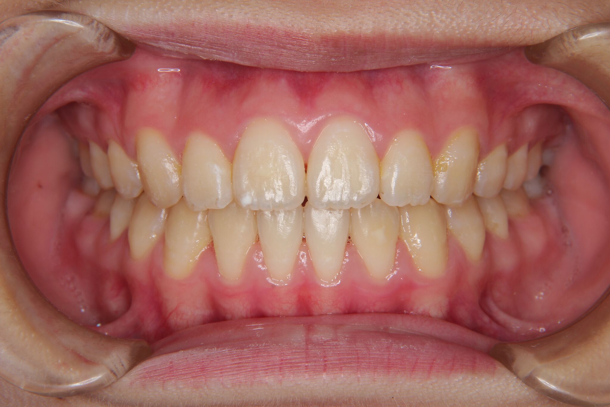
オープンバイト(上顎前歯部叢生)
【患者】 10代 女性
【費用】 矯正装置料78万円+処置料6000円/回
※掲載の費用は治療当時のものであり、2025年の料金改定に伴い、現在の費用とは異なります。最新の料金は、料金表ページにてご確認ください。
【期間】 1年2カ月
- 治療前 治療後
-
【治療計画】
- 大臼歯部(奥歯)の干渉が強いため、咬合平面の改善
- 上顎アーチフォームの改善
- 下顎位のコントロール
【リスク・副作用】
開口の原因の一つに舌癖(舌低位・舌突出等)があります。
舌位置や舌突出癖を改善するためにMFT(筋機能療法)
トレーニングが必要となります。当院でご指導いたします。
トレーニングを行い、舌の位置を日ごろから意識し改善が必要で、
舌位の改善がみられないと後戻りをする可能性があります。
大泉学園 よしかわ矯正歯科 吉川
よしかわ矯正歯科

〒178-0063
東京都練馬区東大泉1-33-6 大泉セントラルビル203
TEL:03-3924-9191
診療時間:
火~金 11:00~13:00/14:30~20:00
土・日* 9:00~12:00/13:00~17:30
休診日:月曜・木曜・祝日・日曜(不定期)
*日曜(月2回不定期診療)


