その他
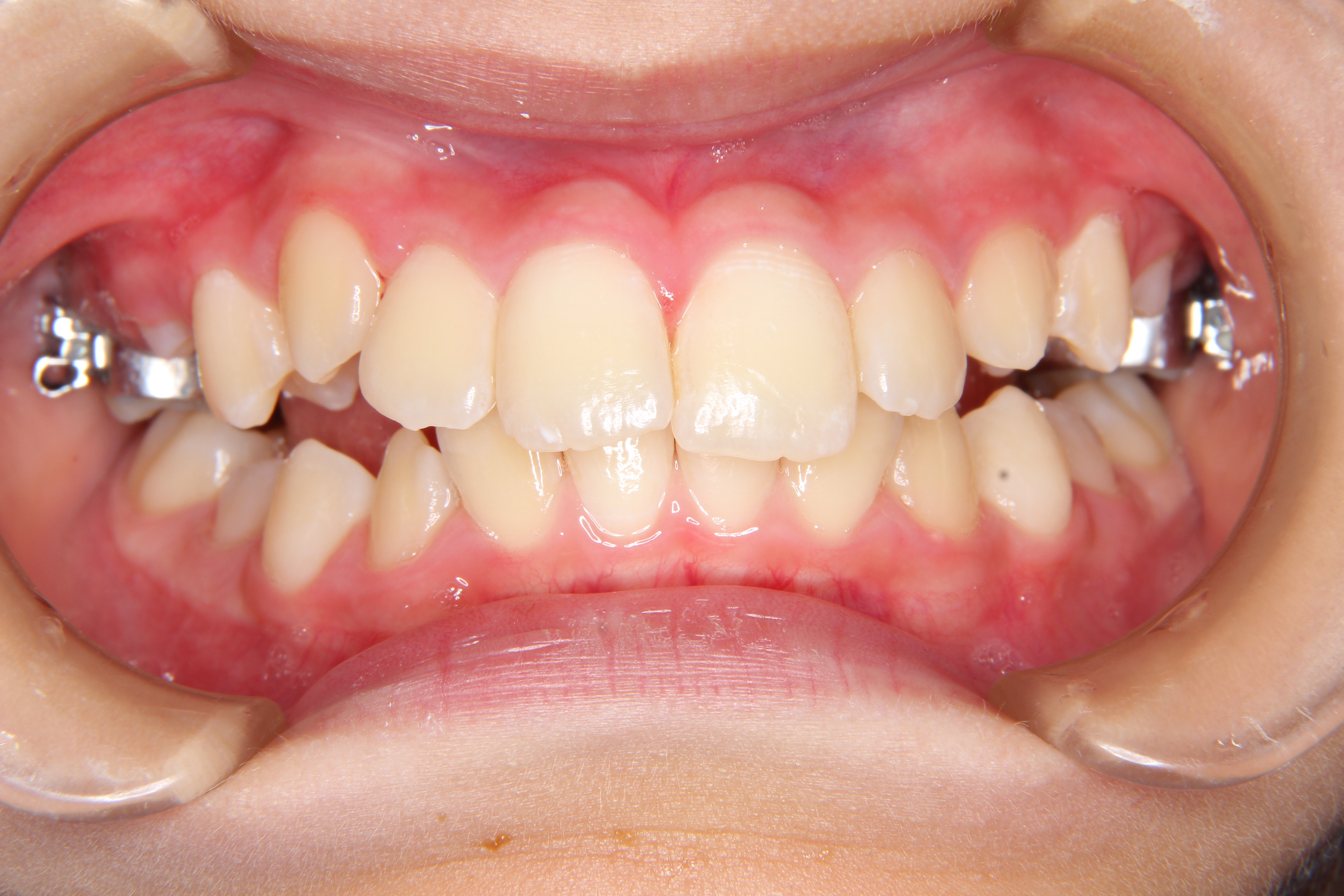
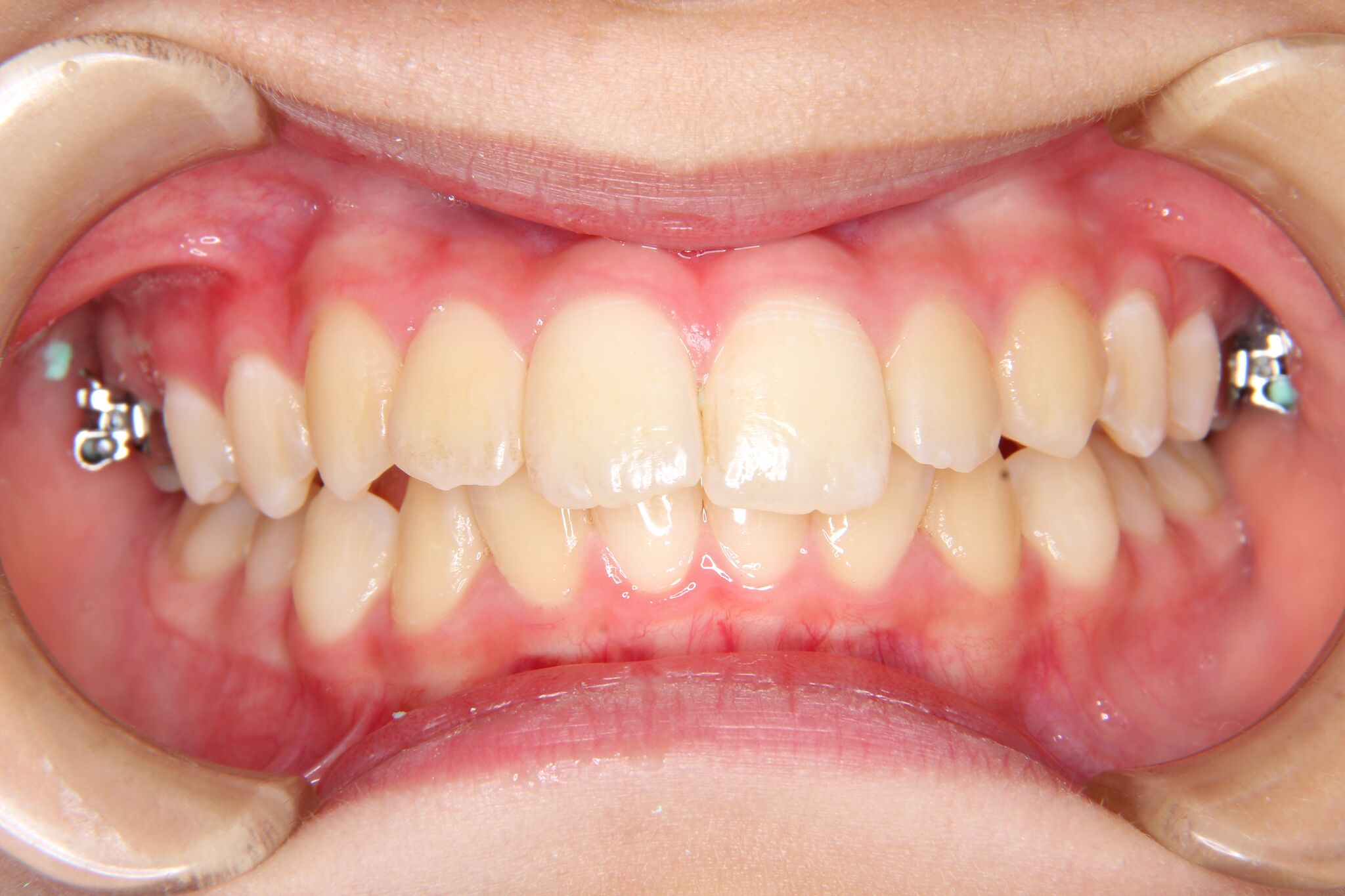
【小学2年生男子】上顎前歯の凸凹
【患者】 小学2年生 男子
【費用】 矯正装置料35万円+処置料6000円/回
※掲載の費用は治療当時のものであり、2025年の料金改定に伴い、現在の費用とは異なります。最新の料金は、料金表ページにてご確認ください。
【期間】 1年
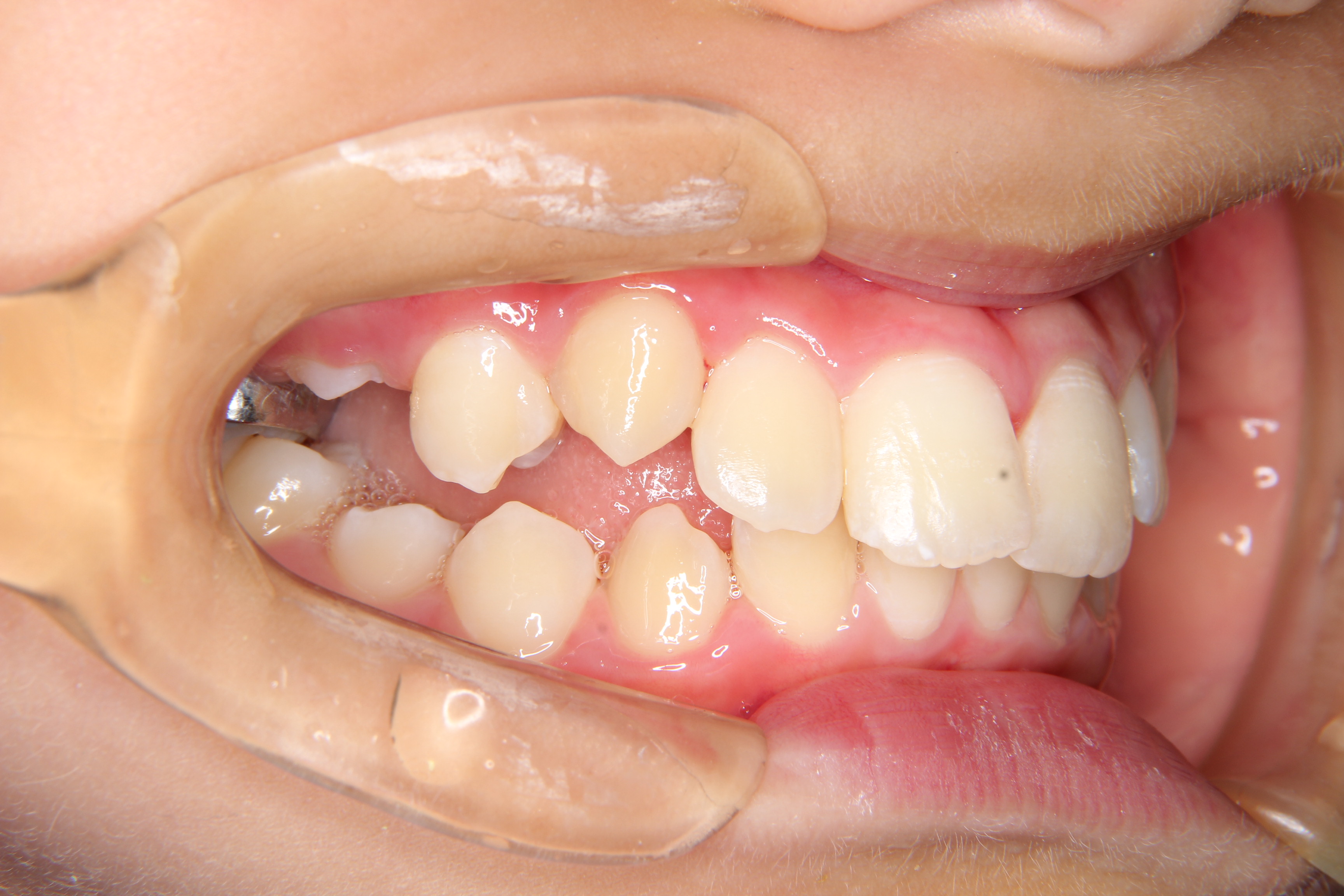
- 治療前 治療後
-


【治療計画】
- オーバレイ装置による下顎位の改善
- 上顎叢生のスペースメイキングは、ヘッドギアによる大臼歯の遠心移動により行いました。
ヘッドギアの治療期間 約1年
永久歯が揃いましたら、ワイヤーによる動的矯正治療開始となります。


【リスク・副作用】
ヘッドギアの使用時間が大切になります。使用時間が少ないと、なかなか歯の動きが悪く犬歯のスペースを確保することが難しくなります。
使用時間は守りましょう。
2期治療が必要となるため治療期間が長期にわたります。
練馬区西武池袋線大泉学園駅 徒歩1分 よしかわ矯正歯科 吉川
よしかわ矯正歯科

〒178-0063
東京都練馬区東大泉1-33-6 大泉セントラルビル203
TEL:03-3924-9191
診療時間:
火~金 11:00~13:00/14:30~20:00
土・日* 9:00~12:00/13:00~17:30
休診日:月曜・木曜・祝日・日曜(不定期)
*日曜(月2回不定期診療)


