その他
受け口の治療法(乳歯列期)
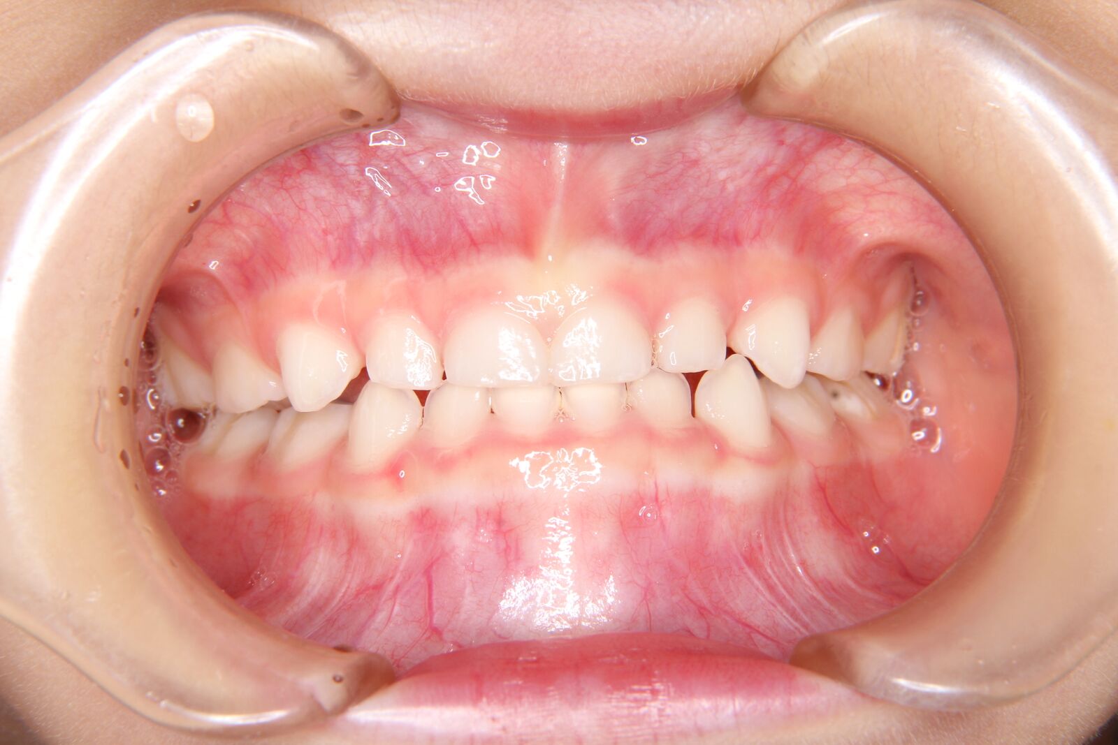
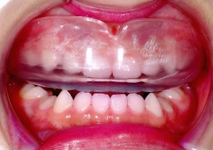
【患者】 4歳女子
【費用】 矯正治療料35万円+処置料6000円/回
※掲載の費用は治療当時のものであり、2025年の料金改定に伴い、現在の費用とは異なります。最新の料金は、料金表ページにてご確認ください。
【期間】 1年
反対咬合とは下の前歯が上の前歯より前に出ている状態のことを言います。
原因としては、
・下顎が上顎より過度に成長する場合
・上顎の成長が少ない場合
・舌の位置が悪く、下の前歯を押している場合
などが挙げられます。
遺伝的な原因も多く、ご両親や祖父母が反対咬合の場合は本人も反対咬合になる場合もあります。


【治療計画】
4歳から7歳くらいまでで、乳歯の時や前歯の永久歯が生え始めの頃に開始する場合、ムーシールドと呼ばれる反対咬合用のマウスピースタイプの矯正装置で治していきます。
このころの反対咬合の原因は舌の位置や使い方が原因で反対咬合になっていることが多いため、マウスピースタイプの矯正装置で舌の位置を改善することによって、反対咬合を治します。

【ムーシールドの効果】
以下の3つが挙げられます。
・舌を上に持ち上げ上顎を広げる
・舌で下の前歯を押さないようにカバーする
・頬の筋肉で上顎を狭くさせないようにカバーする
【ムーシールドの使用法】
・日中時間のある時に、舌を上顎にあげ、軽く閉じるように装着
・夜寝ている時に装着する
【ムーシールドとの併用】
ムーシールドはこのような効果が見込めますが、さらに
・筋機能療法MFT(Myofunctional Therapy)
舌や口の周りの筋肉を正しい動きにする筋肉のトレーニン
を行う治療法です。
・舌小帯切除法
舌の筋である舌小帯が短い舌小帯短縮症のため、舌が上顎
に押し上げられない方がいます。その方も受け口になりや
すいのです。筋機能療法で舌小帯を伸ばすことができれば
いいのですが、短縮状態が強く、改善できない場合は切除
することもあります。
この2つの治療法も併用することがあります。
【リスク・副作用】
ムーシールドを使用したからといって全ての受け口が改善するわけではありません。また、一度改善した受け口もまた戻ってしまうこともあります。受け口は成長とともに変化をし、成長が止まるまで下顎も成長し続けるのです。そのため受け口の治療はムーシールドだけではなく、成長を観察しながら必要な治療を行っていく必要があるのです。
長期管理の必要性があり、特に遺伝性High angleケースでは、中学・高校生で再度治療が必要なこともあります。
練馬区 西武池袋線 大泉学園徒歩1分 よしかわ矯正歯科 吉川
よしかわ矯正歯科

〒178-0063
東京都練馬区東大泉1-33-6 大泉セントラルビル203
TEL:03-3924-9191
診療時間:
火~金 11:00~13:00/14:30~20:00
土・日* 9:00~12:00/13:00~17:30
休診日:月曜・木曜・祝日・日曜(不定期)
*日曜(月2回不定期診療)


