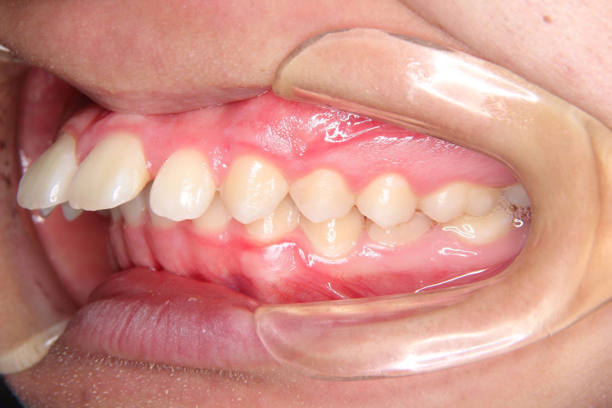
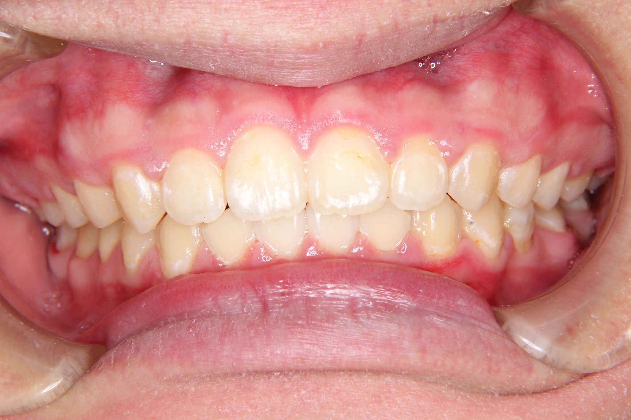
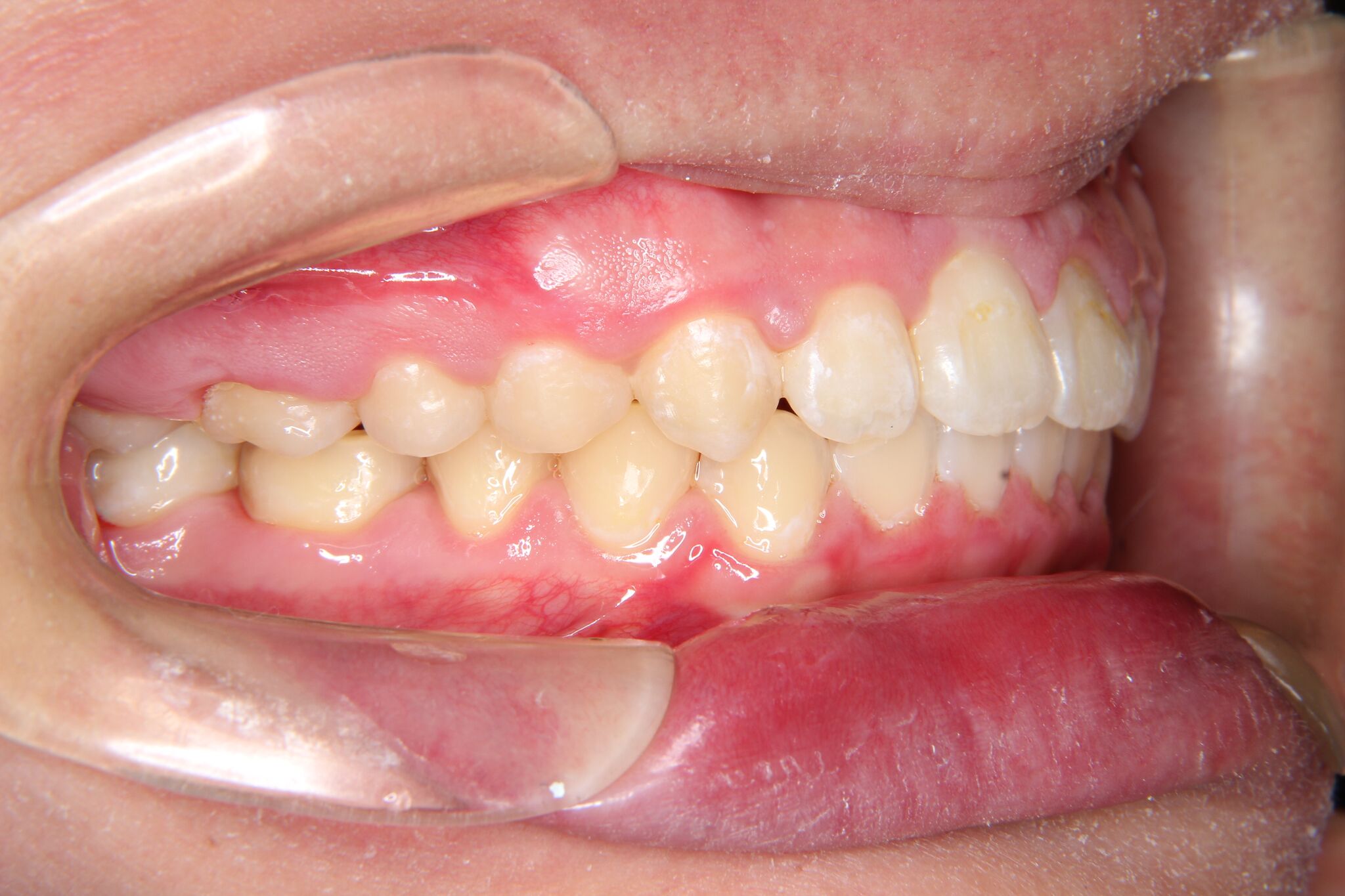
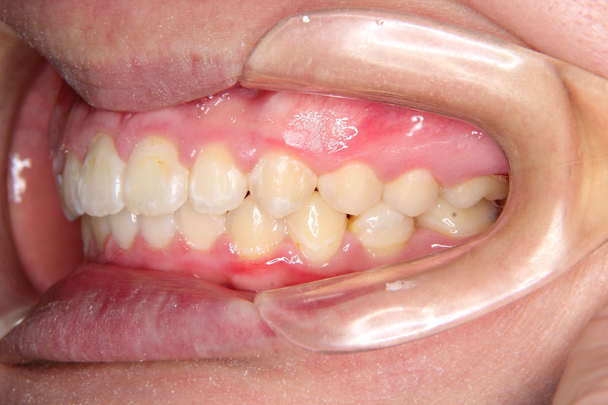
出っ歯
上顎前歯唇側傾斜、下顎後退位
【患者】 中学生 男性
【費用】 矯正装置料74万円+処置料6000円/回
マルチブラケット装置(ワイヤー矯正)
バイトプレート+ヘッドギア
※掲載の費用は治療当時のものであり、2025年の料金改定に伴い、現在の費用とは異なります。最新の料金は、料金表ページにてご確認ください。
【期間】2年8カ月
- 治療前 治療後
-



【治療計画】
- 上顎大臼歯部の遠心移動
- 下顎位の前方適応
- バイトレイズ(深い噛み合わせの改善)
上顎両側8(親知らず)を抜歯し、大臼歯の遠心移動を可能とするスペースを作りました。
下顎 位も前方適応したケースになります。中間歯(小臼歯)抜歯せずに、前歯を後方に下げることができました。


【リスク・副作用】
バイトプレート・ヘッドギアの使用時間を守らないと、歯の動きが悪くなる可能性があり、それに伴い治療期間が延びる可能性があります。
ワイヤー矯正により歯面清掃難しくなります。ワイヤーの下はもちろん歯茎側もしっかりと磨かないと虫歯や歯周炎のリスクが高まります。
また年齢によっては顎位が戻ることもあります。
練馬区大泉学園 よしかわ矯正歯科 吉川
よしかわ矯正歯科

〒178-0063
東京都練馬区東大泉1-33-6 大泉セントラルビル203
TEL:03-3924-9191
診療時間:
火~金 11:00~13:00/14:30~20:00
土・日* 9:00~12:00/13:00~17:30
休診日:月曜・木曜・祝日・日曜(不定期)
*日曜(月2回不定期診療)


