インビザライン
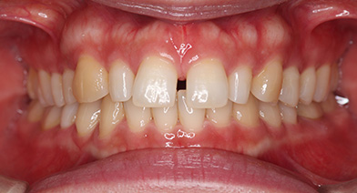
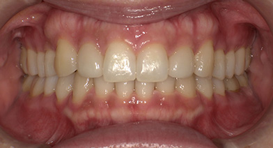
【40代女性】正中離開、上顎両側2 矮小歯症例
- 治療前 治療後
-
| 症例タイトル | 両側上2の矮小歯、正中離開、右側犬歯、大臼歯関係angle classⅱ |
|---|---|
| 患者さまの主訴 | すきっ歯 |
| 治療内容 | 矮小歯は補綴、上顎右側臼歯の遠心移動による大臼歯関係の改善 抜歯:なし 治療装置:インビザライン 固定装置:なし リテーナー:プレートタイプタイプ |
| 患者さまの年齢 | 40代 |
| 患者さまの性別 | 女性 |
| 治療期間 | 2年1ヵ月 |
| 治療にかかった総額 | 1,030,000円(税込み) ※治療当時の金額となります。 |
| 治療する際に起こる リスク・副作用 |
痛み・治療後の後戻り・歯根吸収・歯髄壊死・歯肉退縮 |
よしかわ矯正歯科

〒178-0063
東京都練馬区東大泉1-33-6 大泉セントラルビル203
TEL:03-3924-9191
診療時間:
火~金 11:00~13:00/14:30~20:00
土・日* 9:00~12:00/13:00~17:30
休診日:月曜・木曜・祝日・日曜(不定期)
*日曜(月2回不定期診療)



