インビザライン
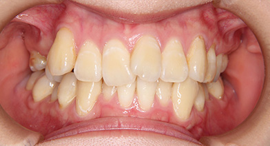
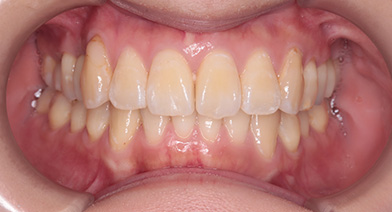
【30代女性】前歯部叢生、上顎両側6、上顎右側4の欠損歯症例
- 治療前 治療後
-
| 症例タイトル | 両側上6番欠損・右側4欠損、上下顎前歯部叢生 |
|---|---|
| 患者さまの主訴 | 前歯の凸凹。奥歯がない。噛めない。 |
| 治療内容 | 欠損歯はインプラント、上顎は残存スペースを利用して叢生の改善、下顎は大臼歯のアップライトにより叢生の改善 抜歯:下顎両側8番(計2本) 治療装置:インビザライン 固定装置:インプラントを治療途中に埋入 リテーナー:上下フィックスタイプ+プレートタイプタイプ |
| 患者さまの年齢 | 30代 |
| 患者さまの性別 | 女性 |
| 治療期間 | 4年1ヵ月 |
| 治療にかかった総額 | 1,075,000円(税込み) ※治療当時の金額となります。 |
| 治療する際に起こる リスク・副作用 |
痛み・治療後の後戻り・歯根吸収・歯髄壊死・歯肉退縮 |
よしかわ矯正歯科

〒178-0063
東京都練馬区東大泉1-33-6 大泉セントラルビル203
TEL:03-3924-9191
診療時間:
火~金 11:00~13:00/14:30~20:00
土・日* 9:00~12:00/13:00~17:30
休診日:月曜・木曜・祝日・日曜(不定期)
*日曜(月2回不定期診療)



