インビザライン|練馬区大泉学園の矯正歯科なら「よしかわ矯正歯科」

  • 大泉学園駅
    徒歩2分
  • 平日20時
    まで診療
  • 土曜診療
    日曜隔週
    診療
MENU

WEB予約

WEB予約方法はこちらから

の方はこちら

の方はこちら

LINEでの予約 LINEでの予約

LINE予約はこちらから

TEL

お電話でのお問い合わせはこちら

03-3924-9191

矯正治療 人生に合わせた そのまま 仕事勉強 子育て

インビザライン

インビザライン その他 非抜歯矯正

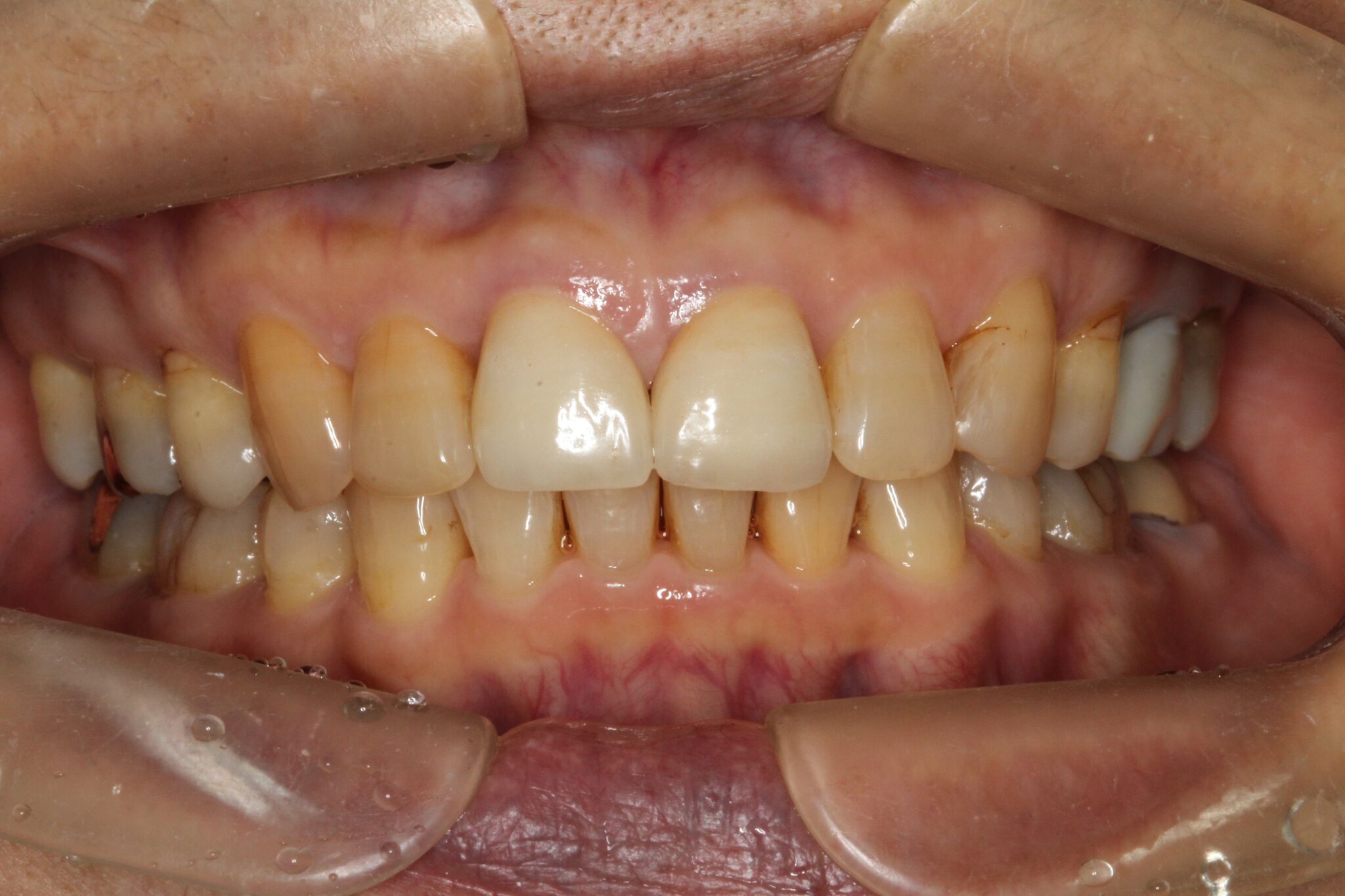
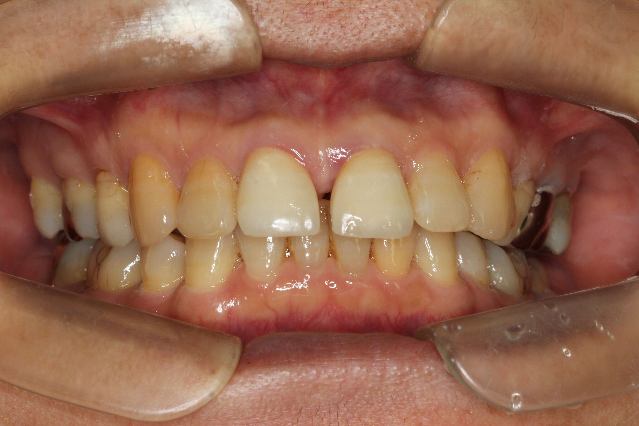
【40代女性】正中離開、上顎両側2 矮小歯症例

インビザライン その他 叢生(乱杭歯)

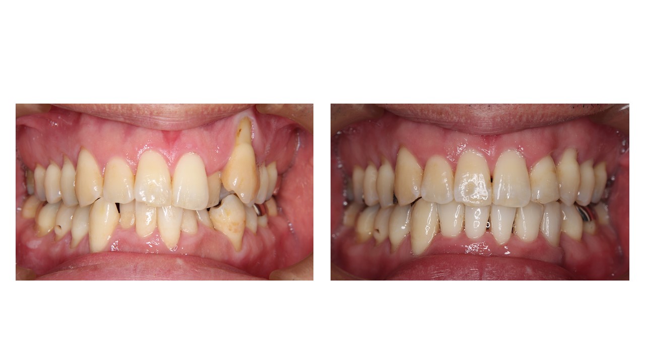
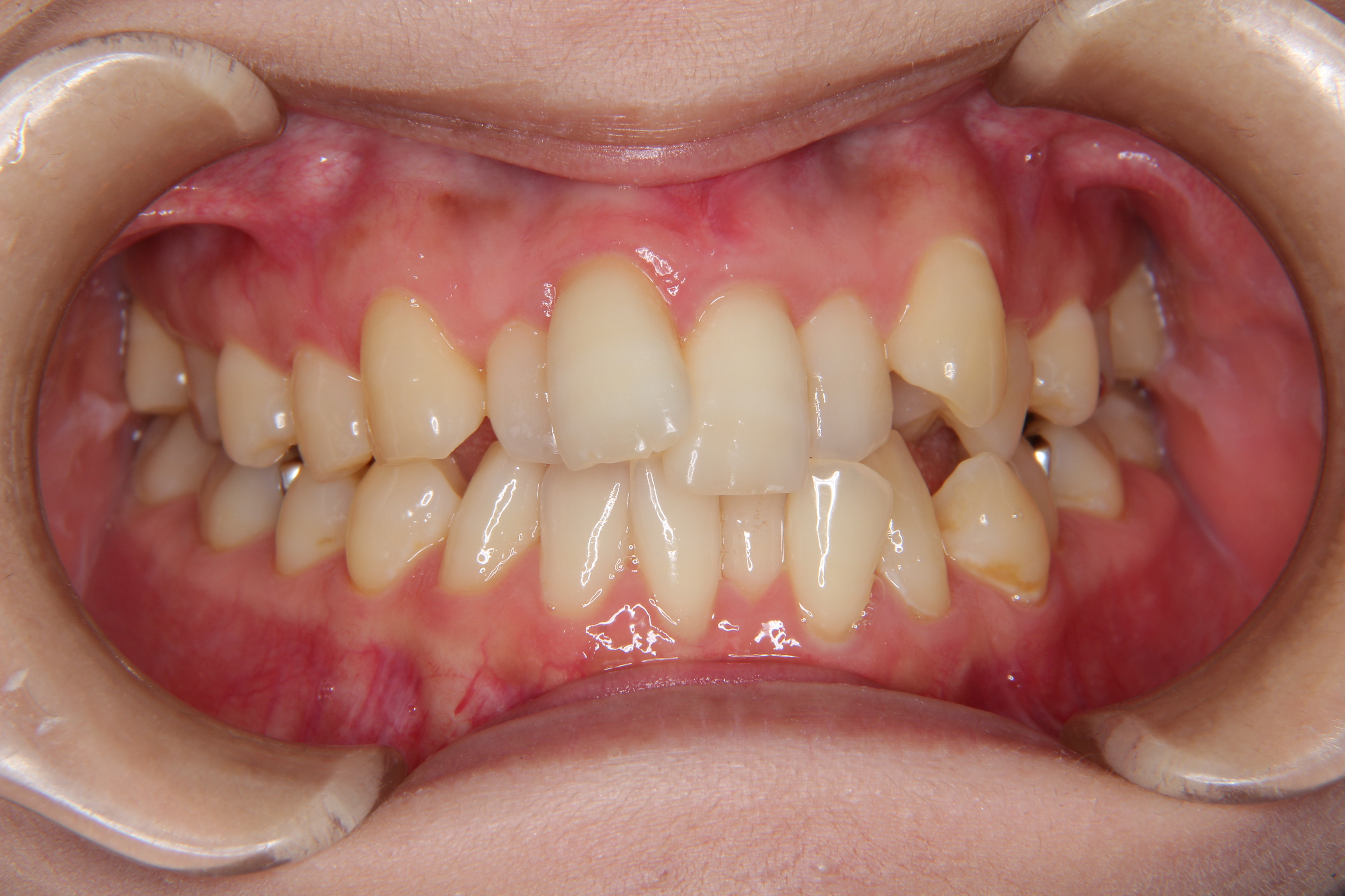
【30代女性】前歯部叢生、上顎両側6、上顎右側4の欠損歯症例

インビザライン 叢生(乱杭歯) 非抜歯矯正

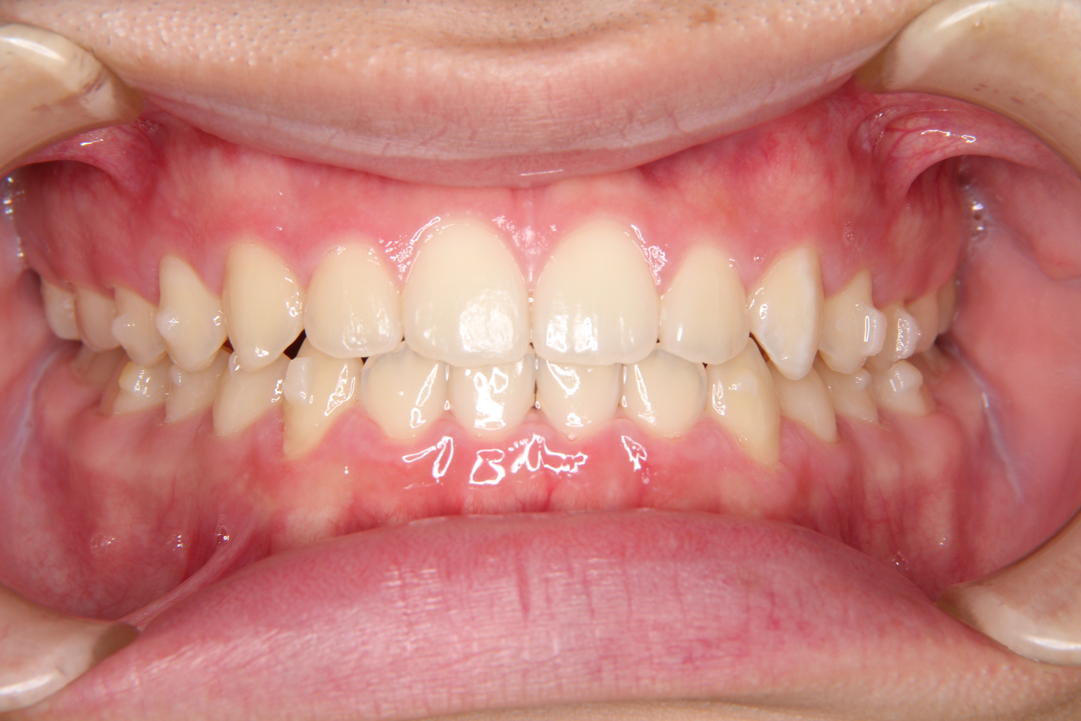
【60代女性】上下顎前歯部叢生、上顎左側犬歯低位症例

インビザライン 受け口 叢生(乱杭歯)

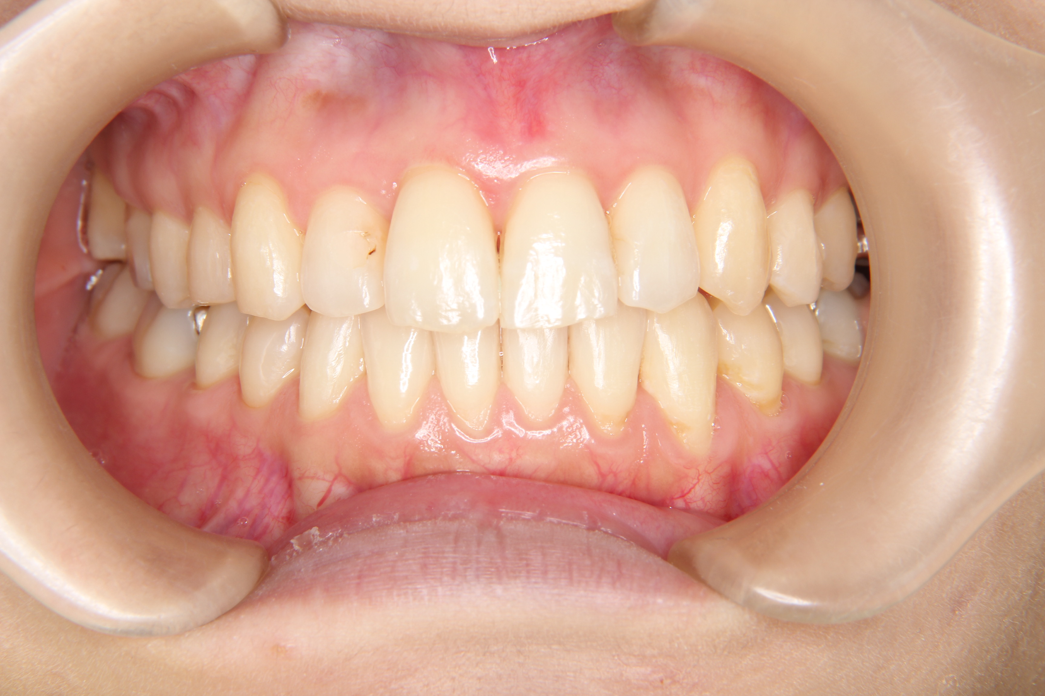
【30代女性】下顎前突、反対咬合、上顎前歯部叢生症例

インビザライン 叢生(乱杭歯)

【20代女性】上下顎前歯部叢生症例

インビザライン その他

【10代男性】すきっ歯症例

矯正治療 人生に合わせた そのまま 仕事勉強 子育て

  • 大泉学園駅
    徒歩2分
  • 平日20時
    まで診療
  • 土曜診療
    日曜隔週
    診療
Address 住所
〒178-0063
東京都練馬区東大泉1-33-6
大泉セントラルビル203
Access アクセス
大泉学園駅より
徒歩2分

初回カウンセリング無料!

…9:00~12:00/13:00~17:30
休診日:月曜・木曜・祝日
*日曜は月2回診療(不定期)

診療カレンダーはこちら

練馬区大泉学園で矯正歯科をお探しの方は、よしかわ矯正歯科へご相談ください。当院は大泉学園駅より徒歩2分の場所にあり、平日20時まで、土曜診療、日曜隔週診療にも対応しているため、学校やお仕事帰りにも通いやすい環境です。父の代から2代、30年以上にわたり地域に根ざし、患者様一人ひとりに合わせた矯正治療をご提案してきました。

セファロ分析やCT、デジタルスキャンなどの設備を導入し、可能な限り非抜歯を軸としながら、咬み合わせや将来的な安定性まで見据えた治療計画を立案しています。マウスピース矯正(インビザライン)やワイヤー矯正など幅広い方法に対応し、小児矯正から成人矯正まで年齢を問わずご相談いただけます。また、矯正中のむし歯や歯周病治療については地域の一般歯科医院と連携し、安心の医療体制を整えています。

大泉学園で精密診断に基づく矯正治療をご希望の方は、まずはお気軽にご相談ください。納得して治療を始められるよう、丁寧な説明と対話を大切にしています。

Copyright ©練馬区大泉学園の矯正歯科医院
「よしかわ矯正歯科」|大泉学園駅徒歩2分
All Rights Reserved.

Top