非抜歯矯正
下顎側方偏位
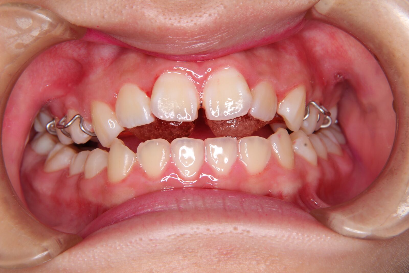
【患者】 10代 女性
【費用】 矯正装置料74万円+処置料6000円/回
マルチブラケット装置(ワイヤー矯正)
拡大床(バイトプレート付き)
※掲載の費用は治療当時のものであり、2025年の料金改定に伴い、現在の費用とは異なります。最新の料金は、料金表ページにてご確認ください。
【期間】 1年6ヵ月
【治療計画】
下顎の右側偏位のケースになります。
外科矯正による治療も検討しましたが、
・上顎歯列の拡大
・大臼歯部の干渉の改善による下顎位のコントロール
・左右の咬合高径の是正
により、外科なしで治療いたしました。


ガンメタルワイヤー+エラスティックによる下顎位のコントロール
を行いました。
小学校低・中学年頃
骨格的に左右にずれていることは少なく、
1. 上顎歯列の幅が狭い
2. ちょっとしたかみ合わせで横ずれを生じている
3. 極端な癖・長時間の?杖
などが原因となっていることが多く見受けられます。
骨格的なズレに移行する前の対応が望ましいと言えます。
小学校高学年以降
?骨格的な側方偏位に移行している場合も多く、見た目にも顔も曲がっていることが分かるようになります。骨格的な問題がより大きくならないような対応が望ましいと言えます。顎関節症状も出ていることが多くなります。
側方偏位が著しい場合、成長終了後(18歳以降が多くなります)に外科的矯正治療を検討することになりますので、成長期のうちに対応したい不正咬合です。
【リスク・副作用】
年齢によっては維持安定が難しくなります。
ゴムかけが必要となります。ゴムの使用時間が短いと歯の
動きが悪く治療期間が延びる可能性があります。
練馬区西武池袋線大泉学園駅徒歩1分 よしかわ矯正歯科
院長 吉川
よしかわ矯正歯科

〒178-0063
東京都練馬区東大泉1-33-6 大泉セントラルビル203
TEL:03-3924-9191
診療時間:
火~金 11:00~13:00/14:30~20:00
土・日* 9:00~12:00/13:00~17:30
休診日:月曜・木曜・祝日・日曜(不定期)
*日曜(月2回不定期診療)


