インビザライン
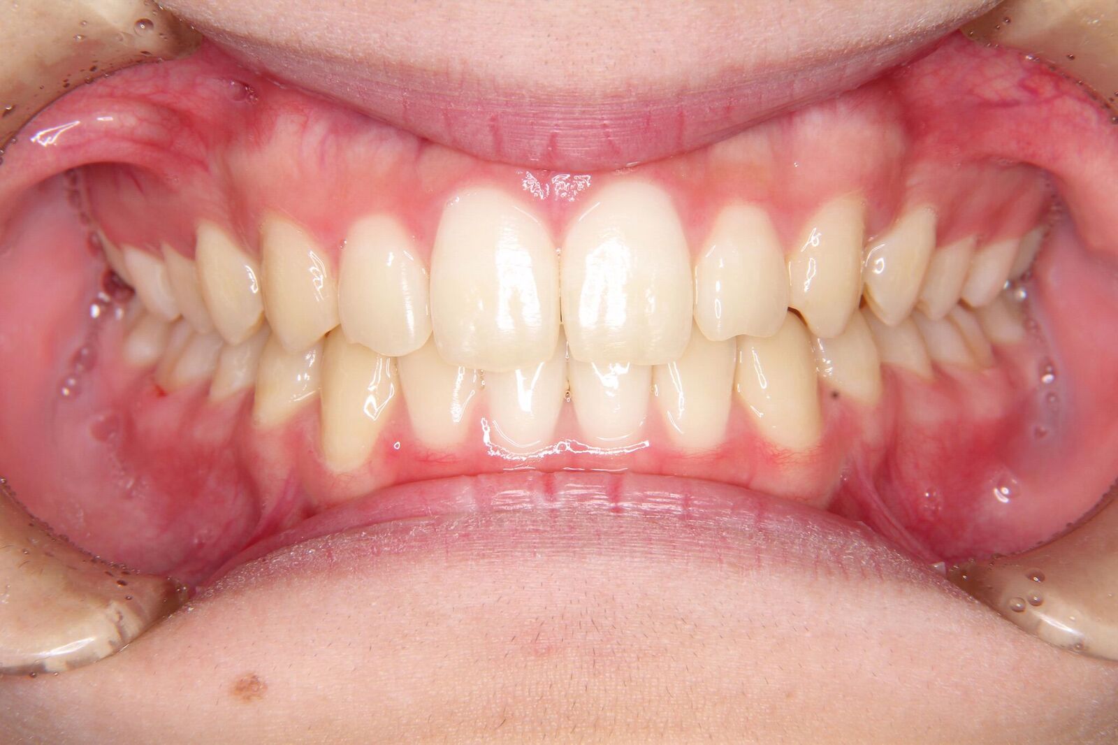
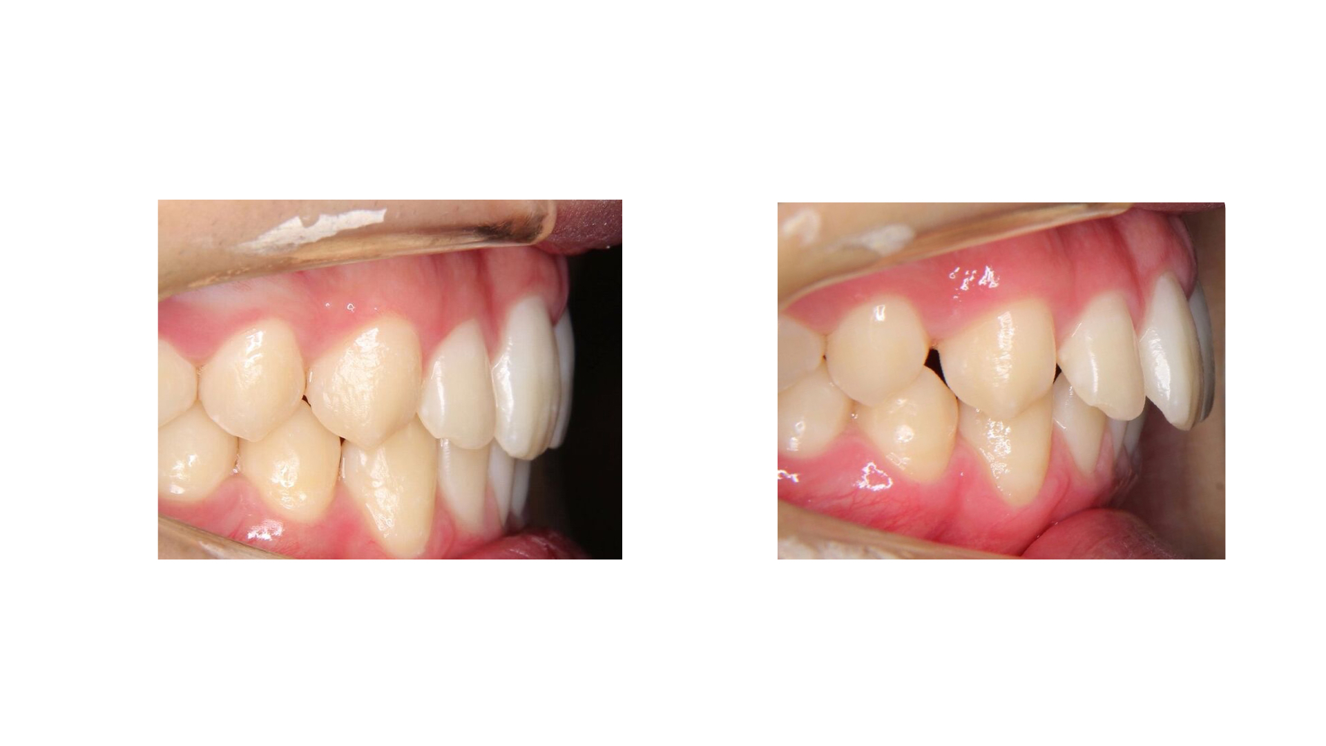
上顎前歯部正中離開(スキッパ)
【患者】 10代 男性
【費用】 矯正装置料84万円+処置料6000円/回
インビザライン(マウスピース矯正)
※掲載の費用は治療当時のものであり、2025年の料金改定に伴い、現在の費用とは異なります。最新の料金は、料金表ページにてご確認ください。
【期間】 11ヵ月


【治療計画】
主訴としては、前歯の隙間が気になるとのことでした。
下顎のスピーの湾曲が強く、上顎前歯部の唇側傾斜がみられました。
インビザラインによるコントロールを行い、11ヶ月で治療を終えました。
正中離開の原因
先天的な要因としては、「上唇小帯(じょうしんしょうたい)」といわれる、上の前歯の中央部分から唇につながるヒダ状の粘膜が肥大し、前歯の間にすき間を引き起こすことがあります。また、通常の本数より多く存在する過剰歯が前歯の間に埋まっていたり、生まれつき永久歯の本数が少なかったり、通常よりも歯が小さかったりすることが原因の場合もあります。
後天的な要因としては、舌で前歯を押し出す癖による顎の広がり、また下顎の成長に比べて上顎の成長が不十分な場合などに起こります。
正中離開のリスク
・審美面
・発音時の息漏れによって、正しい発音がしにくくなる
治療開始の最適な時期
乳歯の部分的なすき間は、永久歯への生え替わりによって自然と目立たなくなることもあります。改善が期待できない場合は、成長期に治療することをおすすめします。永久歯に生え替わった状態ですき間が多い、または永久歯の不足によって発生しているすき間は、永久歯が生えそろってから治療を開始します。
治療については、ブリッジやインプラントなどの人工の歯を使う方法なども検討する場合があります。すきっ歯の原因はさまざまであるため、適切な治療時期と治療方法を調べるため、お早めに当院までご相談ください。
【リスク・副作用】
舌癖(舌の位置、舌突出)がある場合には、正しい舌の位置の習得が
必要となります。正しい位置にないと後戻りをする可能性があります。
食後歯磨きをしてからアライナーを装着するようにしてください。
汚れたまま長時間アライナーを装着していると、虫歯や歯周炎のリスク
が高まります。
練馬区西武池袋線大泉学園徒歩1分 よしかわ矯正歯科 吉川
よしかわ矯正歯科

〒178-0063
東京都練馬区東大泉1-33-6 大泉セントラルビル203
TEL:03-3924-9191
診療時間:
火~金 11:00~13:00/14:30~20:00
土・日* 9:00~12:00/13:00~17:30
休診日:月曜・木曜・祝日・日曜(不定期)
*日曜(月2回不定期診療)


