非抜歯矯正
【30代 女性】上顎前歯のがたがた歯・下顎前歯一本欠損(先天欠如)の矯正歯科治療
【患者】 30代 女性
【費用】 矯正装置料63万円+処置料6000円/回
マルチブラケット装置(ワイヤー矯正)
※掲載の費用は治療当時のものであり、2025年の料金改定に伴い、現在の費用とは異なります。最新の料金は、料金表ページにてご確認ください。
【期間】 8か月
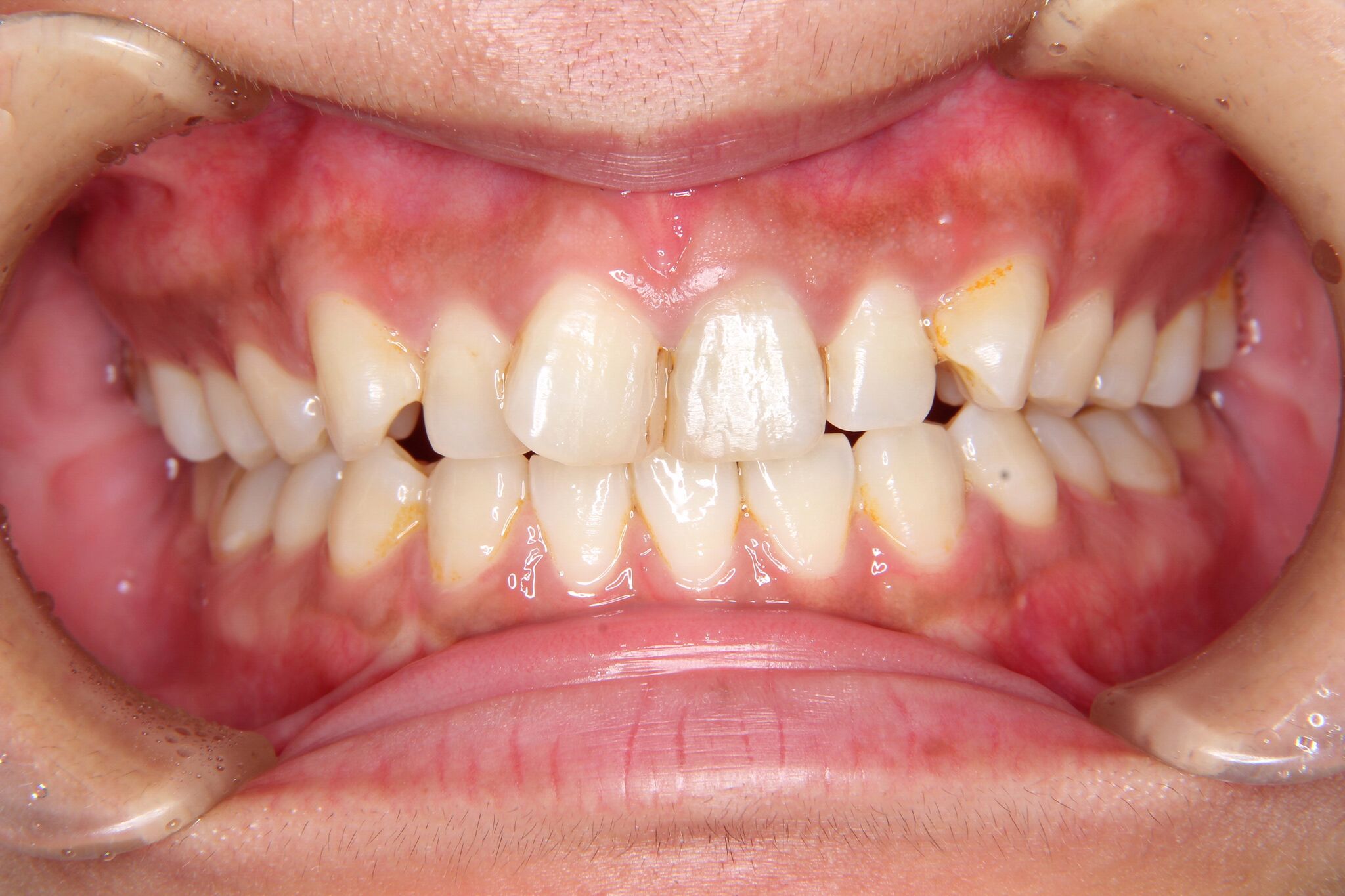
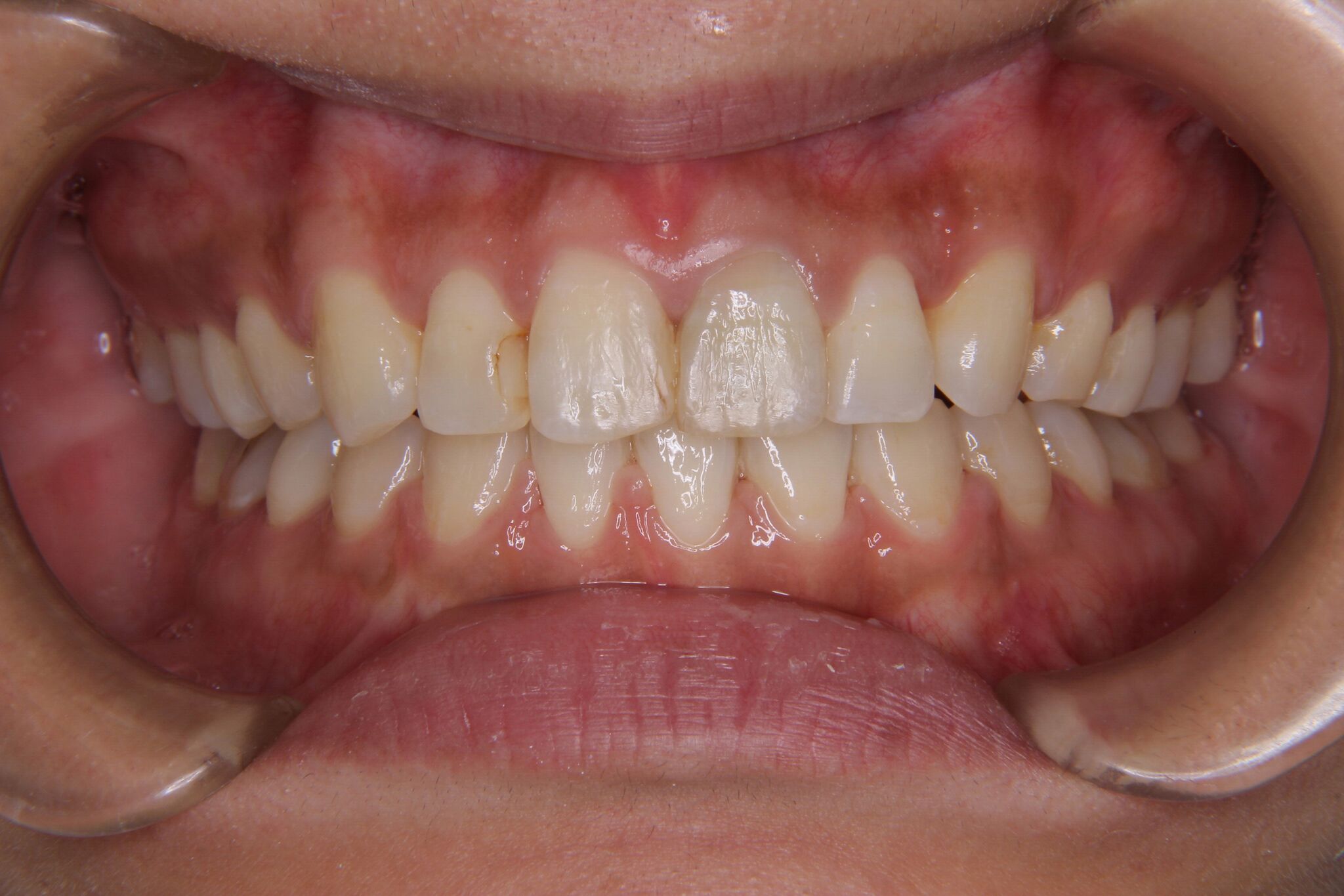
- 治療前 治療後
-
【治療計画】
下の前歯が一本もともとない方でした。先天欠如歯と言います。
そのため、前歯のつじつまの関係を合わせるのが難しくなります。
といいますと、本来、上の前歯4本と下の前歯4本で咬み合う所が、一本欠損していると、上の前歯4本、下の前歯3本となり、上の前歯と下の前歯との間に隙間が出来てくることがあります。
ただし、下あごが前にででる受け口の方は、下顎が前方にあるため、前歯の当たりは出ます。
逆に顎が後方に下がったタイプの方は、前歯の当たりはより無くなります。その場合は、上の奥歯を後方に下げ、できたスペースで上の前歯を後ろに下げます。もしくは、中間の小臼歯という歯を抜歯して、そのスペースに、前歯を下げることもあります。
今回のケースでは、上の奥歯を後方に移動させ、また上の前歯の幅をディスキングという手法で小さくし、前歯4本の幅のツジツマを合わせました。
【リスク・副作用】
ディスキング(歯を少し削る)する必要があります。
ワイヤー矯正により歯面の清掃が難しくなります。怠ると虫歯や歯周
炎のリスクが高まります。
練馬区西武池袋線大泉学園駅徒歩1分 よしかわ矯正歯科 吉川
よしかわ矯正歯科

〒178-0063
東京都練馬区東大泉1-33-6 大泉セントラルビル203
TEL:03-3924-9191
診療時間:
火~金 11:00~13:00/14:30~20:00
土・日* 9:00~12:00/13:00~17:30
休診日:月曜・木曜・祝日・日曜(不定期)
*日曜(月2回不定期診療)


