インビザライン
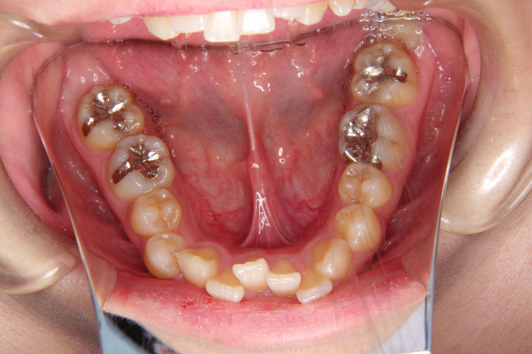
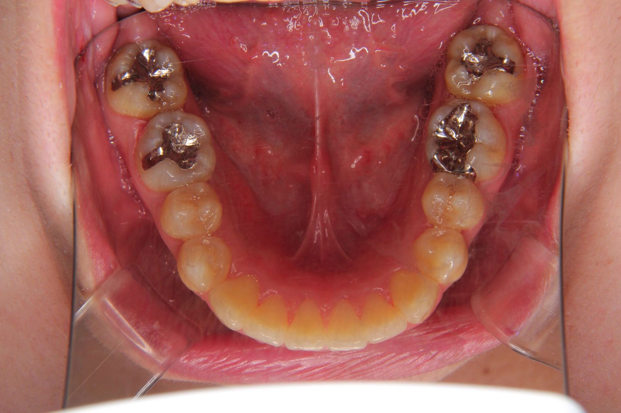
下顎前歯部叢生(凸凹歯)
【患者】 20代 女性
【費用】 矯正装置料84万円+処置料6000円
インビザライン(マウスピース矯正)
※掲載の費用は治療当時のものであり、2025年の料金改定に伴い、現在の費用とは異なります。最新の料金は、料金表ページにてご確認ください。
【期間】 1年1ヶ月
- 治療前 治療後
-


【治療計画】
下の前歯に叢生(凸凹)がかなり認められました。
インビザラインによるマウスピース矯正にて、コントロールしました。
噛み合わせが深い(過蓋咬合)のため、下の前歯が内側に傾斜して、叢生ができている状態でした。このようなケースは、単純に歯の凸凹を改善しただけですと、すぐに装置をはずすと凸凹歯に後戻りしてしまうことが多くあります。
そのため、噛み合わせの高さを挙上しながら、凸凹を改善していく必要があります。
また、過蓋咬合は、下顎の自由運動領域が少なくなり、下顎が後方に後退する傾向にあります。下顎が前歯によって後ろに押し込められて、顎の関節が後ろの骨に圧迫され、痛みがでたり、音がカクカクなるなどの症状が出ることがあります。
歯並びは、歯だけの問題ではなく、顎の位置関係も重要です。
この様に、噛み合わせの挙上が必要となるケースは多いのです。
【リスク・副作用】
ディスキング(歯を少し削る)が必要があります。
凹凸がある為、はじめのうちは、アライナーの取り外しにお時間がかかるかもしれません。慣れてくるとすぐに外すことができるようになります。
使用時間が短いと歯の動きが悪く、治療期間が延びる可能性があります。
練馬区西武池袋線大泉学園駅徒歩1分 よしかわ矯正歯科 院長吉川
よしかわ矯正歯科

〒178-0063
東京都練馬区東大泉1-33-6 大泉セントラルビル203
TEL:03-3924-9191
診療時間:
火~金 11:00~13:00/14:30~20:00
土・日* 9:00~12:00/13:00~17:30
休診日:月曜・木曜・祝日・日曜(不定期)
*日曜(月2回不定期診療)


